Regeneracja kości i tkanek miękkich
Naturalnym zjawiskiem po utracie zęba jest zanik kości w miejscu po jego usunięciu. W zależności od rozległości zaniku kostnego sytuacja może wymagać dodatkowych procedur, aby zapewnić bezpieczeństwo i długotrwałe powodzenie leczenia implantologicznego.

Czego się dowiesz?
O REGENERACJI KOŚCI I TKANEK MIĘKKICH
Regeneracja kości i tkanek miękkich to fundament współczesnej implantologii oraz podstawą nowoczesnej stomatologii estetycznej. Ubytki kostne przez długi czas były poważnym problemem, który utrudniał bądź uniemożliwiał leczenie zwykorzystaniem implantów.
Wskazania do odtwarzania zanikłych tkanek sukcesywnie poszerzają się dzięki stosowaniu i ciągłemu udoskonalaniu materiałów, które umożliwiły regenerację ubytków kostnych oraz wzmocnienie i regenerację tkanki miękkiej. Wprowadzając je do leczenia, udało się ograniczyć obciążające pacjenta zabiegi odtwórcze przy użyciu tkanek własnych, takich jak przeszczep kości własnej, przeszczep dziąsła.
.webp)
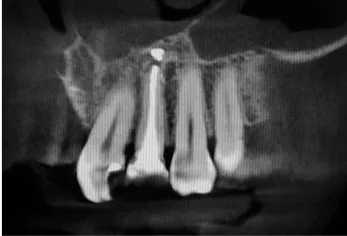
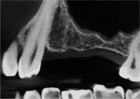
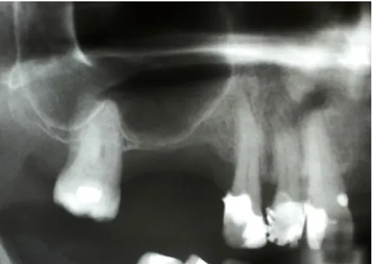
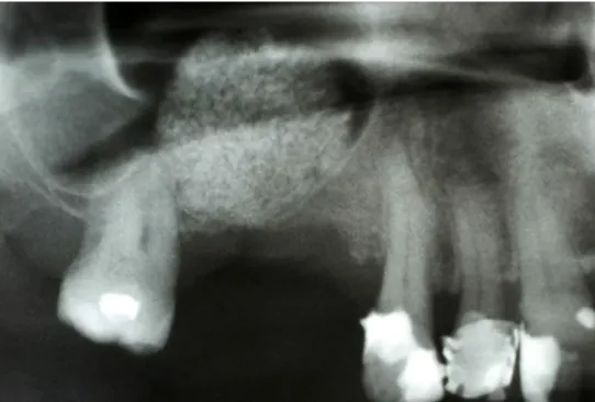
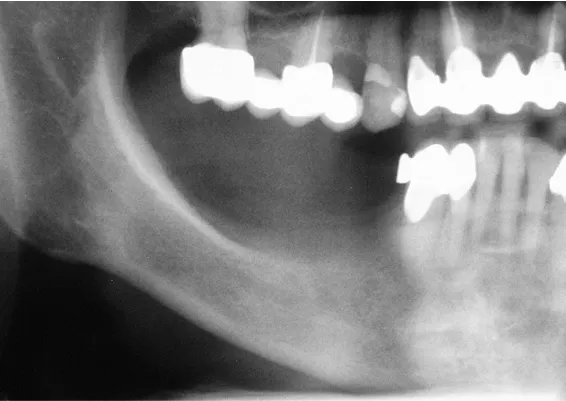
zanik kości
Zanik kości następuje w miejscach, gdzie wcześniej znajdowały się zęby, czyli w obrębie wyrostka zębodołowego szczęki oraz części zębodołowej żuchwy. Po utracie zęba brak naturalnego obciążenia mechanicznego powoduje stopniową resorpcję (wchłanianie) kości. Proces ten może prowadzić do znacznego obniżenia wysokości i objętości kości, co utrudnia późniejsze leczenie protetyczne, np. wszczepienie implantów.

przyczyny zanikania kości
Zanikom kostnym pacjenta sprzyjają uwarunkowania związane z ogólnym jego stanem zdrowia oraz innymi czynnikami miejscowymi mającymi wpływ na kondycje kostną podłoża.

CZYNNIKI OGÓLNE
CZYNNIKI miejscowe
TYPY ZANIKU KOSTNEGO
U pacjentów spotykamy 3 typy zaników kości wyrostka zębodołowego szczęk i żuchwy
DIAGNOSTYKA PRZED planowanym LECZENIEM
Diagnostyka obrazowa
KONSULTACJA ZE SPECJALISTĄ W NASZEJ KLINICE
rewolucyjne MATERIAŁY STOSOWANE DO REGENERACJI TKANEK
Niewątpliwie nowością i rewolucją w dziedzinie chirurgii odtwórczej są szeroko wprowadzane na rynek usług regeneracyjnych odzwierzęce jak i syntetyczne materiały, które pomagają w trudnej odbudowie objętości i tekstury dziąsłowej. Zdrowa tkanka miękka oprawidłowym biotypie stanowi fundament dla osiągnięcia stabilnego oraz estetycznego efektu leczenia w stomatologii iimplantologii stomatologicznej.
Przez ponad dwadzieścia lat doświadczeń i testów klinicznych wprowadzono różne metody chirurgicznej odbudowy tkanki kostnej z wykorzystaniem materiałów kościotwórczych, które występują w formie granulatu, membran zaporowych oraz bloczków kolagenowych.


Materiały autogenne czyli pochodzące z własnego organizmu
- autogenny przeszczep kostny
kość pobrana z obszaru jamy ustnej:
żuchwa – okolica bródki, trzon
szczęka – guz, kolec nosowy przedni
kość jarzmowa
kość pobrana z odległych miejsc dawczych
talerz biodrowy, sklepienie czaszki, piszczel, łopatka - autogenny przeszczep łącznotkankowy (błona śluzowa, skóra)
- odwirowane z krwi własnej osocze bogatofibrynowe A-PRF i-PRF
Materiały syntetyczne alloplastyczne – produkowane laboratoryjnie z materiałów sztucznych
- polimery – HTR Synthetic Bone
- fosforany trójwapniowe TCP – Cerasorb
- hydroksyapatyty – porowate i nieporowate HA-Biocer, OsteoGen
- bioszkła – Biogran
- metale nieresobowalne – granulat tytanu – Tigran
Materiały allogenne pochodzące z organizmu obcego człowieka przechowywane w formie konserwowanej:
- zamrożonej FDBA
- zamrożonej i wysuszonej DFDBA – Tuttogen
Materiały pochodzenia odzwierzęcego – ksenogenne
- pochodzące od zwierząt bezkręgowych – Algipore, Biocoral
- pochodzące od zwierząt kręgowych – BioGen, BioOss, Creoss
Wskazania do regeneracji kostnej w zakresie jamy ustnej









procedury ODBUDOWY TKANKI KOSTNEJ

Odbudowa tkanki kostnej w stomatologii to zbiór procedur chirurgicznych mających na celu przywrócenie utraconej objętości i struktury kości, najczęściej w obrębie szczęki i żuchwy. Zabiegi te są niezbędne w sytuacjach, gdy ilość kości jest niewystarczająca do prawidłowego przeprowadzenia leczenia implantologicznego, protetycznego lub ortodontycznego.
Odbudowa może obejmować zastosowanie biomateriałów, błon zaporowych, przeszczepów autogennych lub technik stymulujących naturalną regenerację kości. Celem jest uzyskanie stabilnego, funkcjonalnego i estetycznego podłoża kostnego dla dalszego leczenia.
ODBUDOWA KOSTNA Z UŻYCIEM MATERIAŁU WŁASNEGO
Są to najstarsze metody odbudowy kostnej, uwzględniające potencjalnie najlepszy, bo własny materiał tkankowy. Przez długi czas uznawane były przez naukowców za jedyne skuteczne.
Metoda mieszana miała zabezpieczać przeszczepioną kość własną przed jej zanikiem. Poza licznymi zaletami przeszczepów kostnych - dobrą tolerancją i brakiem reakcji immunologicznych organizmu - mają istotną wadę, polegającą na resorpcji w miejscu przeszczepu.
ZASTOSOWANIE AUTOGENNYCH MATERIAŁÓW POZYSKIWANYCH Z ODWIROWANEJ KRWI OBWODOWEJ PACJENTA



Szczególna metoda wykorzystująca technikę wolnego wirowania własnej krwi Low Speed Centrifugation Concept LSCC, która została opisana przez dr. Josepha Choukrouna i prof. Shahrama Ghanaatiego. Jej celem jest pozyskanie autogennych odwirowanych frakcji A-PRF i-PRF, które służą do naturalnej regeneracji tkanek bez zastosowania odczynników chemicznych. Technika uwzględnia użycie nowoczesnej wirówki PRF DUO zaprojektowanej przez dr. J. Choukrouna. Urządzenie stosowane jest do frakcjonowanej separacji komórek krwi i osocza w celu pozyskiwania autogennych materiałów używanych do regeneracji tkanek. Dzięki udoskonaleniom oprzyrządowania, powstałym w oparciu o opracowania naukowe prof. S. Ghanaatiego, możliwe jest obecnie pozyskiwanie kilku frakcji osoczowych, mających różną konsystencję oraz zastosowanie.
Największą zaletą tej metody jest pozyskanie własnego materiału z mechanicznie separowanej krwi obwodowej pacjenta, który w odróżnieniu od substancji sztucznych lub obcogatunkowych cechuje naturalna biozgodność. Produkty obce niosą ze sobą większe ryzyko nieprzyswojenia ich przez organizm lub wystąpienie nadmiernej reakcji alergicznej.

Medycyna estetyczna
Uzupełnienie pięknego uśmiechu o harmonijny wygląd twarzy. W naszej klinice oferujemy zabiegi z zakresu medycyny estetycznej.
Niektóre z zastosowań fibryn bogatopłytkowych



Choroby stawów skroniowo-żuchwowych
Więcej o chorobach SSŻ i ich leczeniu w naszej klinice Dr Witkowski przeczytasz tutaj...
ODBUDOWA KOSTNA Z UŻYCIEM
MATERIAŁU OBCEGO

Znana od dziesięcioleci, jednak rzadziej używana metoda z zastosowaniem ludzkiego materiału obcego, który składowany jest w tak zwanych bankach kostnych pod różnymi postaciami
Jest to rzadziej używana metoda ze względu na
Źródło: Leczenie zaburzeń zrostu i ubytków tkanki kostnej, W. Marczyński, Wyd. Bellona, 1995
ODBUDOWA KOSTNA Z UŻYCIEM MATERIAŁÓW KOŚCIOTWÓRCZYCH
Odbudowa kości z wykorzystaniem nowoczesnych materiałów to skuteczna metoda leczenia ubytków kostnych, które mogą powstać np. po urazie, chorobie lub operacji. Dzięki specjalnym preparatom – takim jak bezpieczne materiały syntetyczne lub przeszczepy – organizm zostaje pobudzony do naturalnej odbudowy kości. Taki zabieg jest często stosowany w stomatologii oraz implantologii. Pomaga wzmocnić kość i przygotować ją do dalszego zaplanowanego leczenia.
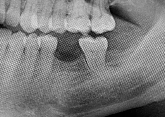
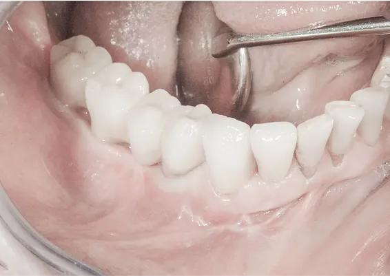
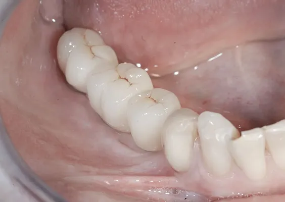
ODBUDOWA UBYTKU PO USUNIĘCIU ZĘBA - SOCKET PRESERVATION
To prosta, szybka i bezpieczna technika odbudowy kostnej zębodołu po ekstra-kcji zęba. Znana wcześniej, lecz opisana dopiero w ramach międzynarodowego konsensusu z 2010 roku (prof. Lindhe, prof. Araujo)
Zabieg odbudowy zębodołu powinno się wykonać możliwe jak najszybciej po usunięciu zęba. Jego celem jest odbudowa naturalnej objętości kości w miejscu utraconego zęba, a następnie szybkie wprowadzenie implantu. Najlepsze rezul-taty uzyskuje się przy zastosowaniu biomateriału w formie bloczków kolageno-wych lub granulatu, które dają trwałe efekty odbudowy oraz optymalną funkcję i estetykę odtworzonych koron zębów na wszczepionym implancie.








nasze osiągnięcia
Nasza klinika szczyci się tym, że dr R. Witkowski wraz z wybraną grupą polskich lekarzy brał udział w 2010 roku w ogólnopolskich badaniach oraz praktycznych i teoretycznych ustaleniach dotyczących ujednolicenia procedur regeneracyj-nych dla zębodołów poekstrakcyjnych podczas 1. Polish Extraction Socket Round Table Meeting w Jachrance

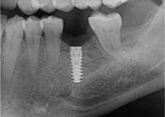
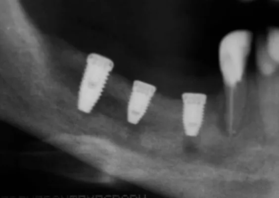
ZABIEGI REGENERACJI KOSTNEJ WOKÓŁ WSZCZEPIANYCH IMPLANTÓW
Sterowana regeneracja kości GBR przy użyciu biomateriałów oraz membran zaporowych. Procedury te są stosowane w sytuacji niedostatecznej ilości kości, skutkującej odsłonięciem gwintu, podczas gdy wszczepiamy implanty stomatolo-giczne lub też jako zabiegi poprzedzające ich wprowadzenie.
nasze osiągnięcia
Udział w okołokongresowym Eksperckim Forum Implantologii (2011, 2012) organizowanym przez Quintessence.










Odbudowa kostna w ODCINKACH BOCZNYCH SZCZĘK - PODNIESIENIE DNA ZATOKI SZCZĘKOWEJ (SINUS LIFT)
Technika odbudowy kostnej stosowana w celu wszczepienia implantów w zanikłe, boczne odcinki szczęk. Najistotniejszą przyczyną utraty kości wyrostka zębodołowego szczęk w odcinkach bocznych są ekstrakcje zębów. Niedostatek kości w wymiarze pionowym stanowi szczególną anatomiczną przeszkodę dla implantacji w okolicy dna zatoki szczękowej. Chcąc odbudować uzębienie i przywrócić funkcję żucia, trzeba podjąć wieloetapowe leczenie rekonstrukcyjne.
Zabiegiem, który rozwiązuje ten problem, jestpodniesienie dna zatoki szczękowej (sinus lift), czyli odbudowa kostna w okolicy zębów trzonowych. Ubytek kości uzupełniany jest materiałem kościotwórczym, który układany jest pod błoną wyścielającą zatokę szczękową, zwaną membraną Schneidera. Zmniejszając objętość zatoki szczękowej, tworzy się tym samym stabilną strukturę kostną, umożliwiającą zabieg implantacji wszczepów śródkostnych.








Metody operacyjnego podniesienia zatoki szczękowej













ALL-ON-4®
Kompleksowe rozwiązanie umożliwiające odbudowę całego łuku zębowego na zaledwie czterech implantach, zapewniając szybki efekt estetyczny i funkcjonalny. Zęby w jeden dzień.

Implanty jarzmowe Zygoma
Innowacyjne implanty dla pacjentów z zaawansowanym zanikiem kości szczęki, mocowane w kości jarzmowej.

Implantologia
Kompleksowe rozwiązanie umożliwiające odbudowę całego łuku zębowego na zaledwie czterech implantach, zapewniając szybki efekt estetyczny i funkcjonalny. Zęby w jeden dzień.

Leczenie bezzębia - bezzębie
Innowacyjne implanty dla pacjentów z zaawansowanym zanikiem kości szczęki, mocowane w kości jarzmowej.
OSTEOTOMIA - ROZSZCZEPIENIE WYROSTKA ZĘBODOŁOWEGO

To technika pionowego rozszczepienia wyrostka zębodołowego przy użyciu osteotomów. Jest to delikatna technika zabiegowa stosowana w sytuacji braku dostatecznej ilości kości na szerokość. Polega na rozszczepieniu pionowym zanikłego w wymiarze horyzontalnym/poprzecznym wyrostka zębodołowego.
Zabiegu rozszczepienia dokonuje się przy użyciu Piezosurgery, specjalnych zestawów osteotomów lub dłut, którymi rozcina się i rozchyla kość zanikłej części zębodołowej żuchwy lub szczęk.
Pomiędzy rozchylone okładki kostne wprowadza się implanty, uzupełniając materiałem kościotwórczym pozostałą szczelinę w wyrostku. Należy w sposób właściwy dobierać i kalibrować instrumentarium, by nie spowodować uszkodzeń związanych z odłamaniem rozszczepianego fragmentu kostnego.








TRANSPOZYCJA NERWÓW ZĘBODOŁOWYCH DOLNYCH – IANT
Ta szczególna metoda używana jest w obszarze dolnego łuku zębowego w sytuacji braku dostatecznej ilości kości na wysokość. Metoda stosowana jest w sytuacji rozległych zaników kostnych w bocznych odcinkach żuchwy, w której wprowadzenie implantów groziłoby uszkodzeniem gałązek nerwowych nerwów zębodołowych dolnych. Gałązki nerwowe biegną wraz z naczyniami krwionoś-nymi we wspólnej pochewce w kanałach kostnych, umieszczonych symetrycznie po obu stronach w trzonach żuchwy.
Technika polega na chirurgicznym ich przemieszczeniu, a przez to stworzeniu bezpiecznego miejsca dla wszczepienia implantów o odpowiednej długości, co gwarantuje ich stabilną pozycję. Stosuje się ją wraz z zabiegiem rekonstrukcji kostnej przy użyciu biomateriałów w formie granulatu i membran.
Zabieg ten stosowany jest rzadko, jako alternatywa rozległych regeneracji kostnych. Wybierany bywa jako alternatywa operacyjna tylko w sytuacji, gdy konwencjonalne metody odbudowy kostnej są niewystarczające lub generują ryzyko braku skutecznej odbudowy kostnej celem wszczepienia implantu.

nasze osiągnięcia
Nasza klinika szczyci się tym, że dr Witkowski opracował własną technikę zabiegu transpozycji nerwów zębodołowych, która prezentowana była na Konferencji Towarzystwa Piezosurgery we Florencji w 2013 roku.
















REKONSTRUKCJA KOSTNA PRZY UŻYCIU ZEWNĘTRZNYCH STABILIZATORÓW
ZASTOSOWANIE MEMBRANY UCLA Z MATERIAŁU GORE PTFE STABILIZOWANEJ PASKAMI TYTANU
Dzięki jej szczególnej budowie mambrany UCLA oraz tytanowym elementom wewnątrz struktury miękkiej membrany utrzymują jej kształt po ich wyprofilowaniu. Metoda opracowana przez zespół naukowy z Uniwersytetu Los Angeles w latach dziewięćdziesiątych, propagowana przez prof. M. Simiona z Uniwersytetu w Mediolanie oraz dr. S. Jovanovica UCLA.
Technika ta ma wiele zalet, ponieważ przy użyciu nowatorskich materiałów i innowacyjnej technologii jako pierwsza umożliwiła odbudowę kostną wyrostka zębodołowego w zadanej formie i kształcie. Natomiast istotną wadą metody są występujące obnażenia membran podczas trwania procesu regeneracyjnego, które bywają przyczyną stanów zapalnych, zmuszających do przerwania procesu odbudowy kostnej i usunięcia błony. Sytuacja brzeżnego obnażenia błony wymaga zwykle jej usunięcia, natomiast centralne jej odsłonięcie rokuje kontynuację leczenia pod ścisłym rygorem częstych kontroli oraz wykonywania zabiegów higienizacyjnych.

TRÓJWYMIAROWA REKONSTRUKCJA WYROSTKA ZĘBODOŁOWEGO PRZY UŻYCIU INDYWIDUALNIE DRUKOWANYCH SIATEK TYTANOWYCH YXOSS ReOss
To kolejna metoda umożliwiająca precyzyjną odbudowę zadanego kształtu tkanki kostnej przy użyciu standardowych materiałów kościotwórczych, kości własnej lub PRF oraz zewnętrznego rusztowania w postaci siatki z biozgodnego stopu tytanu. Siatka jest indywidualnie projektowana w technologii CAD CAM i następnie drukowana dla konkretnego przypadku.
Dotychczas stosowane stabilizatory zewnętrzne w formie siatek tytanowych używane do regeneracji kostnej lub w zabiegach odtwórczych w chirurgii szczękowo-twarzowej uwzględniały materiały ręcznie doginane i formowane podczas zabiegu operacyjnego. Zastosowanie technologii CAD CAM dla potrzeb druku materiałów przeznaczonych do indywidualnej rekonstrukcji kostnej znacznie poprawiło precyzję i jakość uzyskiwanych efektów. Wdrożenie biozgodnych stopów tytanu do druku siatek zdecydowanie ograniczyło odsetek powikłań zapalnych.
Precyzja projektu druku siatki bazuje na dokładności odwzorowania kształtu kości w stożkowej tomografii komputerowej CBCT, co zapewnia ich dobre przyleganie do podłoża kostnego oraz ogranicza powstawanie powikłań w postaci obnażania się siatek. Precyzja projektu oraz materiał, z którego wykonana jest siatka (biozgodny stop tytanu), powodują, że obnażenie się siatki nie zaburza procesu gojenia i regeneracji kostnej.
Wymaga jedynie większej ilości kontroli pozabiegowych oraz wzmaga czujność higieniczną zarówno ze strony lekarza, jak i pacjenta. Ten rodzaj odbudowy kostnej stosowany jest w sytuacjach złożonych, trójwymiarowych 3D ubytków kości, przy których standardowe metody odbudowy są niewystarczające. Ilość kości, którą możemy uzyskać, stosując tę metodę, to nawet kilka centymetrów sześciennych.









Metoda rekonstrukcji kostnej w oparciu o indywidualnie drukowane siatki z tytanu dla implantacji wszczepów śródkostnych stosowana jest najczęściej jako dwuetapowa. W pierwszym etapie odbudowywana jest kość, natomiast implanty wszczepiane są po okresie 4–6 miesięcy. Na wgojenie implantów oczekujemy od 4 do 6 miesięcy w zależności od miejsca ich lokalizacji. Siatka tytanowa po spełnieniu swojej funkcji rusztowania dla odbudowującej się kości jest następnie usuwana w dniu wszczepienia implantu. Jeżeli kość spełnia odpowiednie warunki, istnieje możliwość zastosowania modyfikacji siatki tytanowej, która umożliwia jednoczesne wprowadzenie implantów wraz z odbudową kostną.
Wariant ten skraca czas od pierwszego zabiegu do wykonania gotowych koron protetycznych na wprowadzonych implantach. Opisane schematy procedur regeneracyjnych wykazują znaczną innowacyjność, jeśli chodzi o wykorzystanie technologii cyfrowej w medycynie odtwórczej. Natomiast w codziennej praktyce chirurgicznej poprawiają precyzję, tempo oraz przewidywalność w świadczeniu usług polegających na odbudowie zniszczonych lub zdeformowanych ludzkich tkanek.








nasz udział w badaniach
Dr Witkowski prowadzi badania dotyczące tej metody w ramach projektu naukowego wraz z prof. Shahramem Ghanaatim, kierownikiem Departamentu Patologii oraz Chirurgii Szczękowo-Twarzowej i Plastycznej Uniwersytetu Medycznego im. Goethego we Frankfurcie orazdr Marcusem Seilerem, fundatorem firmy ReOss.
Pobierz PDF








ZASTOSOWANIE DYSTRAKTORÓW KOSTNYCH ORAZ TECHNIK OSTEOGENEZY DYSTRAKCYJNEJ W ZAKRESIE WYROSTKA ZĘBODOŁOWEGO SZCZĘK I ŻUCHWY








Obecnie rzadko stosowana metoda odbudowy tkanki kostnej, która bazuje na naukowych podstawach z lat pięćdziesiątych ubiegłego stulecia. Prof. Ilizarov jako pierwszy opisał tę technikę, polegającą wówczas na wydłużaniu kości długich ludzkiego szkieletu. Metodę tę adaptowano dla potrzeb korekcji wad wrodzonych twarzowo-szczękowych oraz rekonstrukcji ubytków i deformacji kostnych w zakresie wyrostka zębodołowego szczęk i żuchwy.
Do wydłużenia i poprawy kształtu kości poddanej korekcie techniką osteogenezy dystrakcyjnej wykorzystuje się specjalne aparaty nazywane dystraktorami. Działają one poprzez rozkręcanie śrub, które aktywują proces wydłużania kości. W zależności od budowy dystraktora mogą one działać jedno-, dwu- lub trójwektorowo, czyli tylko wydłużać kość, rozciągać ją płaszczyznowo lub przestrzennie.
Aby zestaw rozciągający zadziałał, należy aktywować samą kość. Do aktywacji dochodzi na skutek nacięcia zewnętrznej, twardej blaszki kostnej, tzw. korowej, na zadanym kierunku lub pełnoprzekrojowego przecięcia kości. Po okresie kilku dni, gdy zaczyna się wytwarzać tkanka kostna bliznowata w miejscu przecięcia, rozpoczyna się aktywne rozkręcanie aparatu, a przez to wydłużanie wraz z wtórnym modelowaniem tkanki bliznowatej, która następnie mineralizuje się w strukturę kostną.
Istnieje wiele koncepcji ostedystrakcji, ich autorzy stworzyli własnego pomysłu opatentowane konstrukcje dystraktorów. Niektóre mają nieskomplikowany system działania, natomiast służą do powolnej i fizjologicznej korekty nawet bardzo dużych wad czaszkowo-szczękowo-twarzowych oraz ortognatycznych.
nasze osiągnięcia
Dr Witkowski brał udział w licznych kursach oraz szkoleniach dotyczących technik osteodystrakcji i stosuje je w praktyce chirurgicznej.





Szkolenie z zespołem Kliniki Chirurgii Plastycznej (Prof. dr hab. med. K. Kobus wraz z Zespołem)
URZĄDZENIA POMOCNE W ZABIEGACH REGENERACJI TKANKOWEJ
Interesuje Cię jakich sprzętów i technologii używamy w Klinice Dr Witkowski?
Czytaj więcej
Najczęściej zadawane pytania
Zanik kości jest procesem fizjologicznym, który występuje po usunięciu zębów. W ciągu pierwszych 6 tygodni po ekstrakcji zanika do 60% tkanki kostnej. W późniejszym okresie zanikanie spowalnia. Dlatego też im mniej czasu upłynęło od utraty zęba, tym większe szanse na utrzymanie odpowiedniej objętości kostnej dla implantacji, o ile w protokole uwzględnimy zabiegi regeneracyjne. Nie zrekonstruowany w odpowiednim czasie ubytek kostny może powodować zaniki i deformacje, które mocno ograniczają możliwości leczenia implantologicznego.
Regeneracja kostna to odbudowa kostna przy użyciu odpowiednich technik/procedur oraz materiałów kościotwórczych. Rozwój chirurgii stomatologicznej i szczękowo-twarzowej pozwolił na opracowanie procedur zabiegowych dla regeneracji kostnej u osób, u których doszło do jej zaniku, deformacji lub uszkodzenia. Dzięki nim możliwe staje się zastosowanie implantów stomatologicznych u znacznie większej grupy pacjentów. Ocenia się, iż obecnie regeneracja kości staje się niezbędna w ponad 50% przypadków wszystkich zabiegów implantacji, gdyż warunkiem wszczepienia implantu i osiągnięcia pełnego sukcesu jest odpowiednia ilość kości. Niedostateczna ilość kości ogranicza lub uniemożliwia leczenie implantologiczne.
Regeneracja kostna polega na umieszczeniu w rekonstruowanej okolicy materiału kościotwórczego oraz pokrycie go specjalną błoną zaporową, dzięki której regenerowany obszar chroniony jest przed wrastaniem tkanek miękkich. Po kilku miesiącach na skutek działania procesów regeneracyjnych i remodelujących materiał ulega przebudowie na pełnowartościową, własną tkankę kostną pacjenta, w którą bez obaw można wprowadzić implanty stomatologiczne. Obecnie istnieje wiele innych protokołów regeneracyjnych dla kości, uwzględniających zastosowanie różnego typu błon zaporowych, siatek tytanowych oraz uzyskanych i odwirowanych z krwi autogennych czynników wzrostu.
Zaletą regeneracji kostnej jest m.in. uniknięcie dodatkowych procedur chirurgicznych związanych z koniecznością pobierania kości autogennej (własnej) z miejsc dawczych organizmu pacjenta. Obecnie wykonuje się coraz więcej zabiegów implantologicznych u pacjentów z dużymi zanikami kostnymi, u których jeszcze do niedawna takie zabiegi były niemożliwe. Pierwotnie implanty umieszczano w kościach szczęk tylko w tych miejscach, w których była odpowiednia jej ilość i gęstość, co znacznie ograniczało wskazania do ich stosowania.
Regenerację kostną stosujemy w przypadku:
– odbudowy wyrostka zębodołowego do implantacji
– odbudowy kości wokół implantu umieszczonego w zębodole poekstrakcyjnym
– podnoszenia dna zatoki szczękowej
– wypełniania ubytków kostnych po ekstrakcjach zębów, resekcjach, wyłuszczania torbieli
– rekonstrukcji wyrostka zębodołowego do uzupełnień protetycznych
– naprawy ubytków kostnych spowodowanych paradontozą, wzmocnienia zębów rozchwianych
Odbudowa tkanki kostnej może być przeprowadzona jednocześnie z wprowadzeniem wszczepów lub podczas oddzielnego zabiegu, wykonywanego przed rozpoczęciem procedur implantologicznych.
Materiał kościotwórczy występuje zazwyczaj w formie granulatu o różnej grubości drobin. Może być materiałem odzwierzęcym, syntetycznym lub homogennym. W Polsce statystycznie najczęściej używane są materiały pochodzenia odzwierzęcego pozyskane od zwierząt kręgowych. Usypany do ubytku ma on za zadanie stworzenie mineralnego szkieletu dla odbudowującej się tkanki kostnej. W trakcie jej tworzenia materiał ulega integracji z tkanką pacjenta. Membrana kolagenowa to cienka błona w formie prostokąta o różnych wymiarach, która ułożona w miejscu odbudowy ma za zadanie izolację nowo tworzącej się kości w ubytku od wnikania włóknistej tkanki podśluzowej, która zaburza proces osteogenezy.
Bloki kolagenowe używane są najczęściej do odbudowy geometrycznych, trójwymiarowych ubytków kostnych, których doskonałym przykładem jest zębodół po ekstrakcji zęba. Jest to jeden ze sposobów na procedurę „socket preservation”, czyli natychmiastową lub wczesną odbudowę zębodołów poekstrakcyjnych dla osiągnięcia optymalnych efektów estetycznej odbudowy protetycznej koron zębów na implantach. Membrana kolagenowa to cienka błona w formie prostokąta o różnych wymiarach, która ułożona w miejscu odbudowy ma za zadanie izolację nowo tworzącej się kości w ubytku od wnikania włóknistej tkanki podśluzowej, która zaburza proces osteogenezy.
Przy zabiegu wszczepienia implantu nie zawsze niezbędna jest odbudowa kostna okolicy implantowanej. W sytuacji istnienia prawidłowej objętości kości we wszystkich wymiarach implantujemy bez odbudowy kostnej. Przy niedostatku kości w jednym z wymiarów warunkiem prawidłowego osadzenia i wgojenia implantu jest regeneracja kostna. Ma ona wpływ zarówno na względy biologiczne, czyli prawidłowe wgajanie się implantu, jak i względy funkcjonalne – brak retencji pokarmów pod prawidłowo uformowanymi koronami. Istotne dla pacjenta są również względy estetyczne, które osiąga się poprzez anatomiczne odtworzenie kształtu dziąsła rozpiętego nad odbudowaną kością, dające prawidłowe wyłonienie korony protetycznej odtwarzanego zęba. Uwzględnienie odtworzenia zarówno kości, dziąsła, jak i koron zębów daje w pełni estetyczne i funkcjonalne efekty, które najlepiej imitują własne uzębienie.
Czas procesu gojenia, czyli mineralizacji regenerowanej kości bywa różny. Czas trwania odbudowy kostnej uzależniony jest od rozmiarów ubytku, od tego, czy kości brakuje w jednym, dwóch czy wszystkich trzech wymiarach. Wpływ ma także technika operacyjna oraz zastosowane materiały czy elementy dodatkowe stabilizujące proces trójwymiarowej regeneracji, np. indywidualnie drukowane siatki tytanowe. Ogólnie przyjmuje się, że proces odbudowy kostnej trwa od 4 do 6, a nawet 8 miesięcy.
PRF jest to autogenny materiał pozyskiwany z krwi pacjenta, którą pobiera się bezpośrednio przed zabiegiem chirurgicznym i poddaje odwirowaniu. Po odwirowaniu krwi przy odpowiednich parametrach czasu i częstotliwości wirowania otrzymujemy frakcję od płynnej po gęstą – czyli różne frakcje PRF – osocza bogatofibrynowego. Otrzymaną gęstą postać fibryny bogatopłytkowej, dzięki temu, że jest bardzo sprężysta i wytrzymała, można łatwo uformować i umieścić w polu operacyjnym. Płynną frakcję dodaje się do materiału kościotwórczego w celu przyśpieszenia fizjologicznych procesów gojenia. Stosowanie do regeneracji kostnej odwirowanej krwi własnej pacjenta przeciwdziała powstaniu infekcji, przyśpiesza tworzenie nowych naczyń krwionośnych i przyśpiesza gojenie.
Drogi Pacjencie!
U nas płatność za usługę lub leczenie możesz rozłożyć na 3, 4, 8, 12 miesięcy!
Masz dodatkowe pytania?
Potrzebujesz konsultacji?
Umów się na konsultację z lekarzem, który dobierze odpowiedni proces i metodę leczenia zgodnie z Twoimi indywidualnymi potrzebami zdrowotnymi.


















