Profilaktyka stomatologiczna
To działania mające na celu zapobieganie chorobom zębów, przyzębia i jamy ustnej, w tym próchnicy. Pomaga nie tylko w ochronie zdrowia jamy ustnej, ale również w redukcji nieestetycznych przebarwień oraz eliminuje nieprzyjemny zapach. Dzięki odpowiedniej profilaktyce można cieszyć się własnym zdrowym uzębieniem przez długie lata.
.png)
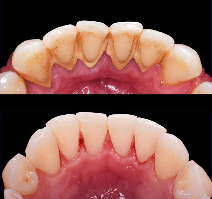
Kamień nazębny
Niewłaściwa codzienna higiena jamy ustnej prowadzi do powstawaniapłytki nazębnej. Nieusuwana płytka nazębna ulega mineralizacji (zwapnieniu) pod wpływem soli mineralnych zawartych w ślinie, przekształcając się wkamień nazębny. Jest on nie tylko nieestetyczny, lecz przede wszystkim stanowi zagrożenie dla organizmu z uwagi na stacjonujące w nim bakterie.
Obecność bakterii i kamienia nazębnego prowadzi do rozwojuchorób dziąseł i przyzębia, w efekcie dorozchwiania zębów, co w konsekwencji może doprowadzić nawet do ichutraty. W związku z tym istotna jest szeroko pojęta profilaktyka, która uwzględnia

ZABIEGI PROFILAKTYCZNE
Zabiegi profilaktyczne są bezwzględnym wymogiem przed planowanym leczeniem chirurgicznym, implantologicznym oraz stwarzają bezpieczne warunki dla skutecznego leczenia zachowawczego, protetycznego, periodontologicznego oraz ortodontycznego.
Wizytę pacjenta w gabinecie stomatologicznym należy rozpocząć od wykonania diagnostyki. Dokonujemy tego poprzez badanie kliniczne pacjenta, przeprowadzenie wywiadu lekarskiego oraz diagnostykę radiologiczną.
Zabiegi i czynności profilaktyczno-diagnostyczne
Zabiegi higienizacyjne
pozostałe zabiegi profilaktyczne
Zabiegi i czynności profilaktyczno-diagnostyczne
badanie kliNIczne
To bezpośrednia ocena stanu zdrowia jamy ustnej, polegająca na oglądaniu zębów, dziąseł oraz tkanek otaczających. Pozwala to na wykrycie zmian chorobowych takich jak próchnica, zapalenie dziąseł czy inne nieprawidłowości, które wymagają interwencji.
wywiad medyczny
To rozmowa z pacjentem, w której stomatolog zbiera informacje na temat historii zdrowia całego organizmu oraz jamy ustnej, nawyków higienicznych, poprzednich chorób zębów oraz ewentualnych dolegliwości. Dzięki temu może dostosować zalecenia dotyczące profilaktyki i wskazań do ewentualnego leczenia.
diagnostyka radiologiczna
Dzięki tym badaniom możliwe jest wykrycie zmian niewidocznych gołym okiem, takich jak wczesne stadium próchnicy, zmiany w strukturze kości czy nieprawidłowości w korzeniach zębów. Radiologia pozwala na dokładniejszą diagnozę i skuteczniejsze planowanie leczenia.
skaner wewnątrzustny
Dzięki tym badaniom możliwe jest wykrycie zmian niewidocznych gołym okiem, takich jak wczesne stadium próchnicy, zmiany w strukturze kości czy nieprawidłowości w korzeniach zębów. Radiologia pozwala na dokładniejszą diagnozę i skuteczniejsze planowanie leczenia.
diagnostyka radiologiczna
Mała kamera w kształcie długopisu, używana do robienia zdjęć wnętrza jamy ustnej w czasie rzeczywistym. Pomaga pacjentowi zobaczyć to, co widzi dentysta, co zwiększa świadomość i motywację do dbania o higienę jamy ustnej.
mikroskop stomatologiczny
Umożliwia precyzyjne oglądanie struktur zęba i tkanek. W profilaktyce stosowany do dokładniejszej diagnostyki, np. wykrywania mikropęknięć lub początkowych zmian próchnicowych.
zabiegi higienizacyjne
pozostałe zabiegi profilaktyczne
zalety czynności i zabiegów profilaktycznych
Zapobieganie próchnicy i chorobom dziąseł
Regularne wizyty kontrolne, higienizacja i odpowiednia pielęgnacja jamy ustnej pomagają uniknąć poważnych problemów, takich jak próchnica czy paradontoza.
Oszczędność czasu i środków na skomplikowane leczenie
Profilaktyka jest znacznie tańsza i mniej czasochłonna niż leczenie zaawansowanych problemów stomatologicznych, takich jak leczenie kanałowe czy implanty.
Zdrowie całego organizmu
Choroby jamy ustnej mogą prowadzić do poważniejszych schorzeń powodując np. choroby serca, sepsę, stany zapalne kośćca i stawów.
Estetyka i komfort życia
Zdrowe, zadbane zęby zapobiegają nieświeżemu oddechowi, poprawiają wygląd uśmiechu i przywracają funkcję układu stomatognatycznego.
sanacja jamy ustnej
.png)
Brak potencjalnych ognisk zapalnych, należyta funkcja i higiena jamy ustnej to wyróżniki jej stanu zdrowia. Proces leczniczy prowadzący do przywrócenia tego stanu określamy jakosanacja jamy ustnej.
Sanacja jamy ustnej wymagana jest przed każdym planowanym kompleksowym leczeniem schorzeń zębów i jamy ustnej oraz w sytuacjach leczenia chorób ogólnoustrojowych, takich jak np. schorzenia okulistyczne, choroby kardiologiczne, choroby krwi, choroby jelit i układu pokarmowego oraz inne.
Sanację jamy ustnej wykonujemy poprzez
profilaktyka w implantologii
warto wiedzieć
Profesjonalna higienizacja implanto-protetyczna powinna się odbywać standardowo co 6 miesięcy lecz nie mniej niż 1 raz w roku.
W razie stwierdzenia stanu zapalnego wizyty są umawiane w indywidualnie określonej częstotliwości.
.png)
dlaczego profilaktyka dla pacjentów z implantami jest tak ważna?
Higienizacja prac protetycznych na implantach
.png)
Procedury higienizacyjne u pacjentów implantologicznych są kluczowe dla długoterminowego funkcjonowania prac implanto-protetycznych, jak również zdrowia tkanek okołowszczepowych. Niedostateczna higiena bowiem prowadzi do gromadzenia się płytki bakteryjnej, która może wywołać zapalenie dziąseł, tkanek okołowszczepowych, a w konsekwencji utratę implantów.
Protokół higienizacyjny prac implanto-protetycznych uwzględnia
- odkręcenie oraz oczyszczenie mostu
- ocenę dziąsła brzeżnego pod kątem stanu zapalnego
- ocenę wtórnej stabilizacji implantów
- ocenę głębokości kieszonek
- czyszczenie mostu oraz łączników MultiUnit skalerem P 90
- czyszczenie mostów ze złogów oraz polerowanie
- ponowne przykręcenie mostów
- instruktaż higienizacji i utrzymania prac implanto-protetycznych stałych
Instrumentarium stosowane podczas higienizacji w gabinecie
- myjka ultradźwiękowa
- skalery ultradźwiękowe ze specjalistycznymi końcówkami
- ręczne kirety z powłoką wykonaną z materiału PEEK
- piaskarki (proszki na bazie glicyny lub erytrytolu)
- specjalistyczne pasty polerskie
- instrumentarium implantologiczne
jakich produktów używać w domu?

Drogi Pacjencie!
U nas płatność za usługę lub leczenie możesz rozłożyć na 3, 4, 8, 12 miesięcy!
Najczęściej zadawane pytania
Prawidłowo i regularnie prowadzona profilaktyka pozwala uniknąć przykrych konsekwencji związanych z rozwojem schorzeń w obrębie jamy ustnej i uzębienia. Na profilaktykę składa się codzienne, samodzielne dbanie o higienę jamy ustnej wykonywane w domu, jak również regularne wizyty w gabinecie stomatologicznym odbywające się pod kontrolą lekarza lub higienistki stomatologicznej.
Istotne znaczenie ma codzienna dbałość o czystość jamy ustnej, nie należy dopuszczać do zalegania na zębach resztek pokarmowych, tworzących płytkę nazębną. Konsekwencją długotrwałego zalegania płytki nazębnej jest kamień nazębny, tworzący się pod wpływem składników mineralnych śliny. Znaczenie ma nie tylko częstotliwość mycia zębów, ale również odpowiednio dobrana technika szczotkowania dopasowana do wieku i ewentualnego stanu jamy ustnej i uzębienia, ważny jest także dobór rodzaju szczoteczki, pasty, stosowanie nici dentystycznych, irygatorów i szczoteczek międzyzębowych. Regularne wizyty higienizacyjne, obejmujące skaling naddziąsłowy i poddziąsłowy, piaskowanie, polerowanie zębów i fluoryzację pozwalają zapobiegać próchnicy i problemom z przyzębiem. Regularne profesjonalne czyszczenie, czyli wizyty higienizacyjne, obejmujące skaling naddziąsłowy i poddziąsłowy, piaskowanie zębów polerowanie powierzchni zębów i fluoryzację pozwalają zapobiegać próchnicy i problemom z przyzębiem.
Istnieją różne metody szczotkowania zębów. Ważne, by technikę odpowiednio dobrać do istniejącego stanu jamy ustnej i uzębienia. Celem prawidłowego szczotkowania jest efektywne oczyszczenie zębów, przestrzeni miedzyzębowych i kieszonek dziąsłowych z płytki bakeryjnej i osadu. Instruktaż higieny jamy ustnej powinien odbyć się podczas wizyty kontrolnej lub higienizacyjnej w gabinecie stomatologicznym. Przeprowadza go lekarz stomatolog lub higienistka stomatologiczna. W ramach takich zaleceń specjalista może również zalecić stosowanie past o określonym działaniu.
Kamień to zmineralizowana płytka nazębna, gdzie bytują drobnoustroje chorobotwórcze, powodujące choroby zębów, choroby dziąseł i schorzenia jamy ustnej. Konsekwencją długotrwałego gromadzenia się kamienia nazębnego jest próchnica twardych tkanek zębów, nieświeży oddech, powstawanie kieszonek dziąsłowych i obniżanie się linii dziąseł, zanik kości, rozchwianie i utrata zębów.
Fluoryzacja zębów to jedna z metod, jaką wykorzystuje profilaktyka stomatologiczna w zapobieganiu próchnicy. Wykonuje się ją przy użyciu preparatów zawierających aktywne związki fluoru. Zabieg fluoryzacji wzmacnia szkliwo i strukturę twardych tkanek zębów, chroni zęby przed działaniem kwasów zawartych w pokarmach i napojach, eliminuje nadwrażliwość zębów.
Lakierowanie to inaczej fluoryzacja zębów – zabieg polegający na pokryciu szkliwa preparatem zawierającym jony fluoru. Warstwa fluoru na szkliwie wzmacnia zęby, zmniejszając ryzyko wystąpienia próchnicy, chroni je przed nadwrażliwością. Tego typu zabiegi profilaktyczne wykonuje się na zębach dokładnie oczyszczonych – po usunięciu kamienia nazębnego i osadu nazębnego. Zabieg ten daje efekt dla naszych zębów, jeśli wykonuje się go regularnie 2–4 razy w ciągu roku.
Proste wprowadzenie implantu w planowanym miejscu w kość jest najczęściej zabiegiem szybkim, wykonywanym w znieczuleniu miejscowym. Warunkiem prostej i szybkiej implantacji są nienaganne warunki kostne. W sytuacji niedostatku objętości kostnej wyrostka zębodołowego szczęki lub żuchwy zabieg poszerzamy o procedurę odbudowy kostnej. Ocena struktury kości szczęki jest kluczowa dla powodzenia zabiegu.
Najlepszym momentem na pierwszą wizytę u stomatologa jest chwila, gdy pojawiają się pierwsze zęby mleczne. Podczas wizyty lekarz sprawdza, czy proces ząbkowania przebiega prawidłowo, regularne kolejne wizyty kontrolne monitorują stan zdrowia jamy ustnej i uzębienia, a także eliminują lęk dziecka przed gabinetem stomatologicznym.
Budowa anatomiczna zębów sprzyja zaleganiu resztek pokarmowych, zarówno u dorosłych, jak i u dzieci. Naturalna nieumiejętność utrzymywania czystości jamy ustnej u dzieci związana jest z poziomem ich świadomości co do konsekwencji chorób i utraty zębów. Wobec tego wskazana jest codzienna pomoc w domowej profilaktyce i regularne wizyty u higienistki stomatologicznej oraz w gabinecie stomatologicznym, połączone z cierpliwym instruktażem w zakresie higieny jamy ustnej. Oprócz fluoryzacji dodatkowym rozwiązaniem u dzieci jest lakowanie zębów, czyli zabieg lakowania nowo wyrżniętych zębów trzonowych i przedtrzonowych na zębach stałych. Szczelnie założony lak szczelinowy uniemożliwia odkładanie się płytki nazębnej w bruzdach, a co za tym idzie – zapobiega rozwojowi próchnicy. Prawidłowa higiena hamuje rozwój próchnicy. Technicznie przeprowadzamy to przez oczyszczenie powierzchni zęba za pomocą szczoteczki i pasty, następnie wytrawienie delikatne szkliwa w celu lepszej adhezji laku. Zmniejsza to ryzyko wystąpienia próchnicy. Po wypełnieniu bruzd materiał naświetla się lampą polimeryzacyjną, na koniec sprawdza się, czy nie przeszkadza w zgryzie.
Przyjmuje się, że właściwa profilaktyka stomatologiczna obejmuje kontrolę uzębienia i całej jamy ustnej u stomatologa raz na 3–6 miesięcy. Powinniśmy zgłaszać się więc do gabinetu stomatologicznego co najmniej dwa razy do roku, chyba że nasz stomatolog zaleci inaczej.
Kamień nazębny to zmineralizowana płytka nazębna, która gromadzi się na skutek spożywania pokarmów. Należy robić wszystko, żeby nie dopuścić do zmineralizowania płytki bakteryjnej, czyli tego miękkiego osadu, powstającego na zębach w ciągu dnia. Aby temu zapobiec, ważne jest, by pamiętać o myciu oraz nitkowaniu zębów po każdym posiłku, a także o regularnych wizytach higienizacyjnych, w tym higienizacji zębów z piaskowaniem zębów oraz fluoryzacją.
Zabieg piaskowania zębów jest zabiegiem bezpiecznym, który jest niemal całkowicie bezbolesny i możemy wykonywać raz na 6 miesięcy, u osób z predyspozycją do odkładania się kamienia lub tworzenia się osadu może być wykonywany częściej. Rekomenduje się, aby piaskowanie było poprzedzone skalingiem całego uzębienia, czyli zabiegiem, którego celem jest usuwanie kamienia nazębnego. Dodatkowo jest możliwość doboru piasku stomatologicznego dla pacjenta o różnej wielkości granulatu. Warto podkreślić, że ten zabieg jest całkowicie bezbolesny.
Profesjonalna higienizacja, czyli zalecany zabieg higienizacji, w czasie którego wykonywany jest skaling, piaskowanie, polerowanie oraz fluoryzacja, powinna odbywać się co pół roku. Przy zaawansowanych chorobach przyzębia – częściej, nawet co 3 miesiące. Właściwa profilaktyka stomatologiczna jest kluczem do zdrowego uśmiechu.
Wybielanie zębów jest bezpiecznym zabiegiem stomatologicznym. Wykonywane pod okiem specjalisty, przy użyciu odpowiednio dobranych preparatów, bezustannie poddawanych kontroli jakości, gwarantuje bezpieczeństwo tego zabiegu.
W gabinecie stomatologicznym wybielanie zębów przeprowadzane jest kilkoma metodami. Największą popularnością i skutecznością cieszy się zabieg wykorzystujący innowacyjną lampę Beyond. Zabieg rozpoczyna się od nałożenia na zęby żelu wybielającego o odpowiednim stężeniu, który wymaga aktywacji światłem emitowanym przez lampę Beyond. Cały zabieg trwa do 60 minut i daje doskonałe efekty.
Wybielanie zębów jest zabiegiem estetycznym, a efekt uzyskujemy już po pierwszej wizycie. Jeśli pacjent będzie zdecydowany na dalsze utrzymanie efektu białych zębów, konieczne są wizyty co rok.
Poza profesjonalnym wybielaniem zębów mamy wiele możliwości rozjaśnienia naszego zdrowego uśmiechu. Pasty wybielające nigdy nie dadzą takiego efektu jak zabieg wybielania w gabinecie, gdyż ich działanie opiera się głównie na mechanicznym bądź chemicznym usuwaniu osadów, które zbierają się na powierzchni zębów.
Kondycja zębów ma wpływ na ogólny stan zdrowia całego organizmu. Powinniśmy również wiedzieć, że choroby jamy ustnej zwiększają ryzyko dolegliwości całego ustroju, w tym przede wszystkim chorób układu krążenia, układu oddechowego, a także układu trawienia.
Skaling naddziąsłowy to jeden z podstawowych zabiegów profilaktycznych, a jego celem jest oczyszczanie zębów z kamienia. Taka profilaktyka stomatologiczna ma na celu oczyszczenie koron zębowych z zalegającego na nich kamienia nazębnego. Wykonuje się go przy użyciu ultradźwiękowego skalera, który oczyszcza powierzchnie zębów dzięki przekazywanym drganiom ultradźwiękowym. Głowicę skalera przykłada się do powierzchni zęba w miejscu występowania kamienia; za pomocą drgań o odpowiedniej częstotliwości oraz strumienia wody urządzenie rozbija kamień i usuwa go z powierzchni zębów. Jest to najpopularniejszy rodzaj zabiegu, który wykonuje się praktycznie u wszystkich pacjentów i jest praktycznie bezbolesny.
Skaling poddziąsłowy to zabieg chirurgiczny, który polega na usunięciu kamienia nazębnego zalegającego w kieszonkach dziąsłowych, pod powierzchnią dziąseł. Zabieg ten przeprowadza się za pomocą specjalnych mechanicznych końcówek skalerów, które oczyszczają powierzchnie zębów dzięki przekazywanym drganiom ultradźwiękowym, a także precyzyjnych, ręcznych narzędzi kiret. Efektywne usuwanie kamienia poddziąsłowego to kluczowy zabieg u pacjentów periodontologicznych, ponieważ dzięki niemu unikamy lub zatrzymujemy procesy chorobowe przyzębia, które prowadzą do rozchwiania i utraty zębów. Regularne wizyty i zabiegi profilaktyczne, kontrola periodontologiczna, radiologiczny monitoring chorób przyzębia zapobiegają rozchwianiu i utracie naszego uzębienia. Profesjonalna higienizacja i regularna profilaktyka to fundament zdrowia jamy ustnej. Zawsze lepiej zapobiegać niż leczyć, dlatego tak ważna jest profilaktyka.
Masz dodatkowe pytania?
Potrzebujesz konsultacji?
Umów się na konsultację z lekarzem, który dobierze odpowiedni proces i metodę leczenia zgodnie z Twoimi indywidualnymi potrzebami zdrowotnymi.



















.png)
.png)
.png)

