Protetyka szczękowo-twarzowa
Odtwarzamy uśmiech i prawidłowe funkcje jamy ustnej dzięki nowoczesnym rozwiązaniom protetycznym. Zapewniamy komfort, estetykę i indywidualne podejście do każdego pacjenta.

Czego się dowiesz?
PROTETYKA SZCZĘKOWO-TWARZOWA - TECHNIKI ODTWÓRCZE DLA UTRACONYCH TKANEK ORAZ NARZĄDÓW JAMY USTNEJ I TWARZY
Protetyka szczękowo-twarzowa to dyscyplina medyczna zajmująca się odtwarzaniem utraconych tkanek oraz narządów twarzoczaszki i przywracaniem ich funkcji. Jest to dziedzina, która łączy w sobie medycynę, technologię laboratoryjną z wiedzą o materiałach służących do odbudowy utraconych elementów ciała pacjenta. To dyscyplina z pogranicza protetyki stomatologicznej oraz chirurgii szczękowo-twarzowej.
%201%20(1).png)
Najczęściej leczone schorzenia
.png)
Najczęściej leczonymi schorzeniami są stany zapalne, urazy, którymi zajmuje się traumatologia, wady szczękowo-twarzowe – chirurgia ortognatyczna, choroby zatok szczękowych, gruczołów ślinowych oraz stawów skroniowo-żuchwowych. Szczególnym działem tej dyscypliny jest onkologia szczękowo-twarzowa, która zajmuje się leczeniem nowotworów obszaru głowy i szyi. Terapia onkologiczna uwzględnia leczenie nowotworów przy użyciu chemioterapii, radioterapii lub technik chirurgicznych. Leczenie chirurgiczne polega na wycięciu guzów nowotworowych wraz z tkankami i narządami objętymi procesem rozrostowym. Są to zarówno nowotwory skóry twarzy, błony śluzowej jamy ustnej, jak i guzy narządów zlokalizowanych w obszarze twarzoczaszki (oko, ucho, duże gruczoły ślinowe, skóra). Skutkiem resekcji są ubytki tkanek miękkich, jak i szkieletu szczękowo-twarzowego. Zakres resekcji uzależniony jest od stadium, stopnia złośliwości oraz rozległości nacieku nowotworowego.
ubytki i deformacje
.png)
Ubytki poresekcyjne zlokalizowane w obszarze twarzoczaszki mają zazwyczaj złożony charakter ze względu na skomplikowaną budowę anatomiczną tego obszaru i są
Deformacje wynikające z ubytków tkanek twarzy mogą być leczone poprzez złożone, wieloetapowe chirurgiczne zabiegi odtwórcze z zakresu chirurgii szczękowo-twarzowej, włączając operacje mikrochirurgiczne. Można też odtwarzać ciągłość tkanek i przywracać pacjentowi funkcje przy użyciu konwencjonalnego leczenia protetycznego prowadzonego w jamie ustnej oraz protez zewnętrznych twarzy – epitez twarzowych. Wymienione techniki często są łączone, o ile skala upośledzenia funkcji i rozległości ubytku poresekcyjnego tego wymaga.Złożone procedury chirurgiczne wymagają specjalnego zaplecza, wielospecjalistycznej obsługi medycznej oraz czasu biologicznej reakcji gojących się tkanek. Odbywają się w wyspecjalizowanych ośrodkach, najczęściej akademickich.
Ubytki w obszarze jamy ustnej mogą być rekonstruowane przy użyciu prostych technik chirurgicznych, jak procedury regeneracji kostnej w oparciu o materiał własny autogenny lub materiał obcy. Może być również pomocne konwencjonalne leczenie protetyczne przy użyciu stałych uzupełnień mocowanych na zębach, jak mosty, czy ruchomych, jak protezy akrylowe osiadające na podłożu, gdy odbudowę poprzedziło usuwanie zębów, lub protezy szkieletowe wsparte na zębach i podłożu protetycznym. Rehabilitacja protetyczna wewnątrzustna przy użyciu protez poresekcyjnych, uwzględniających ubytki szkieletu kostnego szczęk, ma za zadanie przywrócenie poprawnych funkcjonalnie warunków zgryzowych poprzez stabilną odbudowę uzębienia, jak i nadanie konturów profilu twarzy w miejscach resekcji kostnych, co poprawia estetykę oblicza.
czym zajmuje się protetyka szczękowo-twarzowa?
.png)
Protetyka szczękowo-twarzowa zajmuje się odtwarzaniem złożonych ubytków struktur twarzy ludzkiej, powstałych najczęściej na skutek
Ubytki powłok twarzy rekonstruujemy protezami zewnętrznymi twarzy zwanymi ektoprotezami lub epitezami twarzowymi. Wykonywanie protez zewnętrznych twarzy wymaga zastosowania odpowiedniej technologii protetycznej, uwzględniającej zarówno sposoby ich wykonania, jak i mocowania epitez do pozostałych tkanek twarzy.
kwalifikacja PACJENTA DO WYKONANIA PROTEZ PORESEKCYJNYCH I EPITEZ TWARZY
.webp)
Aby móc wykonać ostateczną epitezę lub protezę poresekcyjną u pacjenta z ubytkiem tkanek twarzoczaszki, spowodowanym wycięciem nowotworu złośliwego, należy uprzednio poddać chorego wnikliwej obserwacji klinicznej w kierunku wykluczenia wznowy choroby onkologicznej. Wymagany czas monitorowania stanu zdrowia chorego, aby zakwalifikować go do leczenia protetycznego, uzależniony jest od wielu czynników i trwa on od kilku miesięcy do 5 lat.
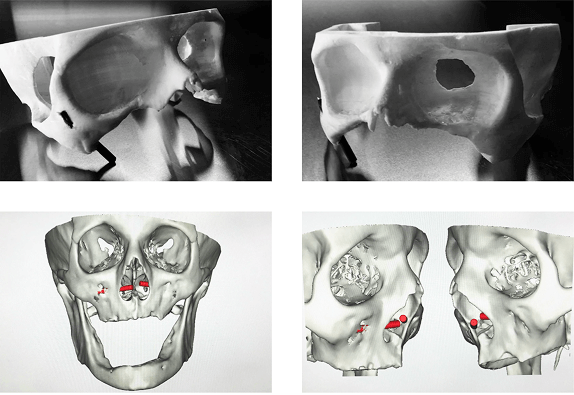
daignostyka chorego po resekcji
Chory po resekcji tkanek/narządów twarzoczaszki wymaga wnikliwej diagnostyki obrazującej zakres ubytku oraz stan podłoża kostnego. Wykonuje się następujące czynności
.png)
systemy implantologiczne
Należy dokonać doboru odpowiedniego systemu i rodzaju implantów przydatnych do przyszłego umocowania protez poresekcyjnych. Systemy implantologiczne używane dla tych celów to


Implanty jarzmowe Zygoma
Innowacyjne implanty dla pacjentów z zaawansowanym zanikiem kości szczęki, mocowane w kości jarzmowej.

ALL-ON-4®
Kompleksowe rozwiązanie umożliwiające odbudowę całego łuku zębowego na zaledwie czterech implantach, zapewniając szybki efekt estetyczny i funkcjonalny. Zęby w jeden dzień.

Implantologia
Kompleksowe rozwiązanie umożliwiające odbudowę całego łuku zębowego na zaledwie czterech implantach, zapewniając szybki efekt estetyczny i funkcjonalny. Zęby w jeden dzień.

Leczenie bezzębia - bezzębie
Innowacyjne implanty dla pacjentów z zaawansowanym zanikiem kości szczęki, mocowane w kości jarzmowej.
epitezy
Epitezy wykonywane są zawsze indywidualnie z twardych lub miękkich tworzyw sztucznych, które są barwione w celu dopasowania do otaczającej skóry. Duży wybór barwników, kolorowych włókien barwiących oraz mnogość technik barwienia pozwala na dostosowanie ich do każdego typu skóry. Dodatkowo obrzeża epitez zostają zastąpione miękkim, tzw. mimicznym silikonem imitującym funkcje mimiczne skóry, nadając im naturalny wygląd i funkcje.
%201%20(1).png)
WYKONANIe PROTEZ PORESEKCYJNYCH I EPITEZ TWARZY
.png)
mocowanie protez
.png)
Istnieje szereg sposobów mocowania protez zewnętrznych twarzy /ektoprotez do podłoża. Najskuteczniejszą metodą dla ich stabilizacji jest użycie implantów osteointegrujących. W opisanym przypadkach pomocne są standardowe implanty korzeniowe jak również implanty czaszkowe, które różnią się od zębowych wymiarami oraz zastosowaniem. Miejscami , w które się je wprowadza są kości czaszki twarzowej. Dla utrzymania epitez ucha czy oka wszczepia się je w kości okołooczodołowe lub kość skroniową. Każda ich pozycja śródkostna bywa uzasadniona pod warunkiem, że pozostają stabilnym elementem nośnym dla ektoprotez , a co najważniejsze nie uszkadzają pozostałych narządów oraz struktur kostnych twarzoczaszki.
Przy mocowaniu wewnątrzustnych protez poresekcyjnych szczęk lub łączonych protez poresekcyjnych z epitezami twarzowymi przydatne są również implanty Zygoma.
Zastosowanie współczesnych technik obrazowania trójwymiarowego umożliwia precyzyjne zaplanowanie pozycji implantów czaszkowych, tak by ektoprotezę stabilnie osadzić na podłożu.
Drogi Pacjencie!
U nas płatność za usługę lub leczenie możesz rozłożyć na 3, 4, 8, 12 miesięcy!
Najczęściej zadawane pytania
Istnieją techniki laboratoryjne – protetyczne, które dzięki zastosowaniu odpowiednich materiałów umożliwiają odtworzenie utraconych fragmentów twarzy wraz z organami takimi jak oko lub nos. Jest to szczególny rodzaj protez zewnętrznych zwanych ektoprotezami lub epitezami. By uzyskać spodziewany efekt imitujący strukturę, kolor, przezierność, cechy szczególne, a nawet mimikę skóry, stosuje się specjalny silikon protetyczny, który po zastosowaniu wewnętrznego oraz zewnętrznego systemu barwienia doskonale imituje naturalne powłoki ciała. Kształt, naturalny wygląd organów oraz ich cechy szczególne zapewnia wyobraźnia oraz zdolności plastyczne technika lub lekarza wykonującego protezy indywidualnie dla każdego pacjenta. Epitezy najczęściej mocowane są w tkankach przy użyciu elementów kotwiących, jakimi są specjalne implanty czaszkowe, wszczepiane w kostne obramowanie ubytku, czyli obrzeże oczodołu, kość skroniową, kość jarzmową czy podstawę nosa.
Protetyka szczękowo-twarzowa to dyscyplina zajmująca się protezowaniem ubytków twarzy, nosa, ucha, oka oraz uzębienia i jamy ustnej, które powstają w wyniku rozległego urazu lub operacji chirurgicznych mających na celu usunięcie guzów nowotworowych tych okolic.
Jest to szczególny rodzaj zewnętrznej protezy, uzupełniającej ubytki tkanek twarzy, w tym oka, ucha, nosa powłok skórnych, często w kombinacji z ubytkami struktur jamy ustnej i uzębienia. Nazywane są ektoprotezami lub epitezami ze względu na to, że imitują elementy zewnętrznej anatomii głowy i twarzy pacjenta.
Kamień to zmineralizowana płytka nazębna, gdzie bytują drobnoustroje chorobotwórcze, powodujące choroby zębów i jamy ustnej. Konsekwencją długotrwałego gromadzenia się kamienia nazębnego jest próchnica twardych tkanek zębów, nieświeży oddech, powstawanie kieszonek dziąsłowych i obniżanie się linii dziąseł, zanik kości, rozchwianie i utrata zębów.
Jest to proteza, którą konstruujemy, aby odtworzyć utracone elementy anatomii twarzy i jamy ustnej, które powstają w wyniku zabiegów operacyjnych mających na celu usunięcie guzów nowotworowych. Cechami ubytków po resekcjach chirurgicznych jest brak jednoznacznej geometrii, zaangażowanie w ubytek zróżnicowanych tkanek twarzy, jamy ustnej oraz istotnych dla funkcji i estetyki organów.
Ze względu na problem złożoności rekonstrukcji ubytku poresekcyjnego budowa protezy oraz jej mocowanie do podłoża jest najczęściej zadaniem indywidualnie realizowanym dla każdego pacjenta.
Bywa, że proteza poresekcyjna mieści w swojej konstrukcji zarówno elementy protezy zewnętrznej – epitezy – jak i protezy wewnątrzustnej. Może istnieć wtedy jako spójna, nierozłączna całość lub stanowić dwa oddzielne moduły łączone ze sobą w ciele człowieka. Taka budowa stanowi dodatkowy element stabilizujący protezę poresekcyjną w niegeometrycznym ubytku tkanek.
Istnieje szereg rozwiązań mocujących epitezy w obszarze ubytku twarzy i głowy pacjenta. Ich zastosowanie uzależnione jest od struktury, rozmiaru, stopnia złożoności ubytku oraz szczegółów anatomicznych, które proteza odtwarza. Są to zawsze protezy ruchome, które ze względów zdrowotnych i higienicznych pacjent sam może usunąć z podłoża. W sytuacjach dogodnych ektoproteza mocowana jest bez elementów dodatkowo stabilizujących, utrzymuje się w ubytku dzięki wykorzystaniu retencyjności jego kształtu. Ze względu na stopień złożoności i rozległość ubytku, epitezy często wymagają dodatkowych elementów kotwiczących w postaci implantów osteointegrujących, do których mocuje się zaczepy mechaniczne lub magnetyczne stabilizujące ektoprotezę na podłożu. Są to implanty o szczególnej budowie i zastosowaniu, określane jako implanty czaszkowe. To krótkie wszczepy, przeznaczone do integracji w twardych kościach czaszki i twarzoczaszki. W sytuacji rozległych ubytków poresekcyjnych dotyczących zarówno struktur zewnątrz-, jak i wewnątrzustnych, oraz gdy mamy sprzyjające warunki kostne na obrzeżu defektu, pomocne są również implanty jarzmowe – Zygoma, skrzydłowe i jeśli to możliwe – implanty zębowe.
Proste wprowadzenie implantu w planowanym miejscu w kość jest najczęściej zabiegiem szybkim, wykonywanym w znieczuleniu miejscowym. Warunkiem prostej i szybkiej implantacji są nienaganne warunki kostne. W sytuacji niedostatku objętości kostnej wyrostka zębodołowego szczęki lub żuchwy zabieg poszerzamy o procedurę odbudowy kostnej. Ocena struktury kości szczęki jest kluczowa dla powodzenia zabiegu.
To specjalnego kształtu i przeznaczenia wszczepy śrubowe zbudowane z tytanu. Wprowadzane są w twarde kości czaszki oraz twarzoczaszki pacjenta celem stabilnego zamocowania protez innych niż tylko zębowe.
Implanty czaszkowe wszczepiane są w kostne obramowanie ubytku poresekcyjnego twarzy, czyli obrzeże oczodołu, kość skroniową, kość jarzmową czy podstawę nosa. Zintegrowane w tych miejscach implanty służą stabilizacji silikonowych protez odtwarzających powstałe w wyniku operacji czy urazu ubytki tkanek i organów twarzy pacjenta. Bezpośrednią retencję dla protez zewnętrznych tworzą z kolei mechaniczne lub magnetyczne zaczepy, które mocowane są na implantach czaszkowych. Taki system daje pacjentowi pełną swobodę użytkowania epitez bez skrępowania oraz rezygnacji z funkcji i codziennych aktywności.
Zazwyczaj znieczulenie miejscowe jest wystarczające dla wszczepienia implantów czaszkowych w struktury kostne leżące powierzchownie, typu obramowanie oczodołu czy kość skroniowa. W sytuacji gdy do rekonstrukcji angażujemy różne procedury i systemy implantów, jak wszczepy Zygoma czy skrzydłowe, by odtworzyć złożone ubytki poresekcyjne, zalecane jest znieczulenie ogólne.
Kamień nazębny to zmineralizowana płytka nazębna, która gromadzi się na skutek spożywania pokarmów. Należy robić wszystko, żeby nie dopuścić do zmineralizowania płytki bakteryjnej, czyli tego miękkiego osadu, powstającego na zębach w ciągu dnia. Aby temu zapobiec, ważne jest, by pamiętać o myciu oraz nitkowaniu zębów po każdym posiłku, a także o regularnych wizytach higienizacyjnych z piaskowaniem oraz fluoryzacją.
Połączenia magnetyczne są jednym z rozwiązań, które zamocowane na implantach, stabilnie utrzymują epitezy twarzy w ubytku poresekcyjnym. Mają zazwyczaj postać płaskich krążków przeznaczonych do wbudowania w płytę protezy oraz nadbudowy mocowanej na implantach czaszkowych. Działają jak typowe magnesy, czyli poprzez wytworzone siły magnetycznego przyciągania pomiędzy dwiema metalicznymi powierzchniami stabilnie utrzymują protezy na podłożu ludzkich tkanek.
Materiałem, który obecnie w najlepszy sposób imituje strukturę, kolor, przezierność, cechy szczególne, a nawet mimikę skóry, jest specjalny silikon protetyczny. Poddaje się go odpowiedniej plastyfikacji i barwieniu dzięki zastosowaniu wewnętrznego oraz zewnętrznego systemu koloryzacji, który nadaje mu cechy naturalnej powłoki skórnej ciała ludzkiego. Poddany obróbce termicznej i ciśnieniowej formuje struktury utraconych elementów anatomicznych twarzy, typu nos, ucho czy powłoki skórne. Anatomiczną rzeźbę odbudowywanych szczegółów twarzy pacjenta uzyskujemy poprzez proces ręcznego modelowania kształtu organów czy części twarzy pacjenta.
Masz dodatkowe pytania?
Potrzebujesz konsultacji?
Umów się na konsultację z lekarzem, który dobierze odpowiedni proces i metodę leczenia zgodnie z Twoimi indywidualnymi potrzebami zdrowotnymi.







