Endodoncja leczenie kanałowe
Twój uśmiech jest Twoją wizytówką, a zdrowie zębów to podstawa dobrego samopoczucia. Czasem jednak, mimo najlepszych starań, pojawiają się problemy wymagające specjalistycznej interwencji. Jednym z najskuteczniejszych sposobów na uratowanie zęba przed ekstrakcją jest leczenie kanałowe. W naszym gabinecie w Opolu oferujemy kompleksowe i nowoczesne leczenie endodontyczne, które pozwala cieszyć się własnym uzębieniem przez długie lata. Jeśli szukasz specjalistów od leczenia kanałowego w Opolu, trafiłeś we właściwe miejsce.

Wprowadzenie do leczenia kanałowego
Leczenie kanałowe, znane również jako leczenie endodontyczne, to często jedyna szansa na zachowanie zęba, którego miazga (nerw) uległa nieodwracalnemu zapaleniu lub martwicy. Dzięki niemu unikamy konieczności usunięcia zęba, co jest zawsze ostatecznością. Leczenie kanałowe Opole w naszym gabinecie to gwarancja profesjonalizmu i wykorzystania najnowszych technologii.
Wykorzystujemy nowoczesne metody i narzędzia, które umożliwiają szybkie i precyzyjne opracowanie nawet bardzo niedrożnych i zainfekowanych kanałów korzeniowych. Leczenie endodontyczne to nasza pasja i specjalność. Kluczowym elementem nowoczesnego leczenia kanałowego jest mikroskop zabiegowy. Dzięki niemu lekarz ma powiększony i doskonale oświetlony obraz wnętrza zęba, co pozwala na niezwykle precyzyjne oczyszczenie wszystkich kanałów z martwej lub zainfekowanej tkanki. To właśnie leczenie kanałowe pod mikroskopem daje najwyższą gwarancję sukcesu.
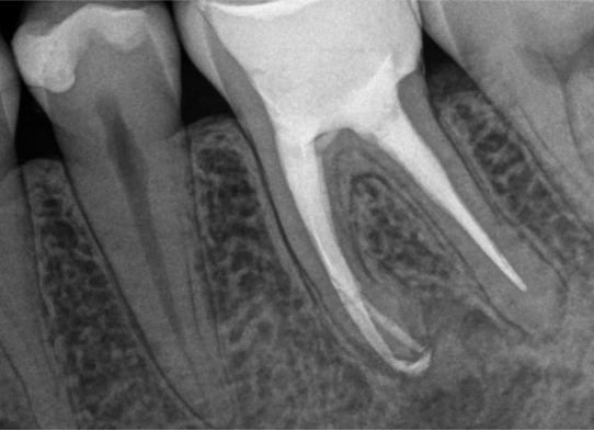
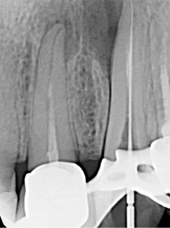
Po zakończonym leczeniu kanałowym, wykonujemy kontrolne zdjęcie RTG. Pozwala ono na natychmiastową ocenę jakości wypełnienia kanałów korzeniowych i potwierdzenie skuteczności przeprowadzonego zabiegu. Dla nas leczenie kanałowe Opole to synonim precyzji i pewności.
W trudnych przypadkach, takich jak niedrożne lub zakrzywione kanały, sięgamy po narzędzia ultradźwiękowe z nasypem diamentowym. Pomagają one w bezpiecznym i skutecznym udrożnieniu kanałów, co znacząco zwiększa skuteczność całego leczenia kanałowego.

Leczenie endodontyczne – Klucz do uratowania zęba
Na czym dokładnie polega leczenie endodontyczne? Zabieg leczenia kanałowego polega na usunięciu chorobowo zmienionej miazgi z komory oraz systemu kanałów zęba. Następnie kanały są dokładnie oczyszczane, dezynfekowane i szczelnie wypełniane specjalnym materiałem.
Wielu pacjentów obawia się bólu. Zapewniamy, że bezbolesne leczenie kanałowe jest u nas standardem. Dzięki zastosowaniu skutecznego znieczulenia miejscowego, cały zabieg przebiega w komfortowych warunkach. Komfort pacjenta jest dla nas priorytetem.
Czy leczenie kanałowe można powtórzyć? Tak, ponowne leczenie endodontyczne (tzw. re-endo) jest możliwe i często konieczne, gdy poprzednie leczenie nie przyniosło oczekiwanych rezultatów lub pojawiły się nowe problemy w danym zębie. W takich sytuacjach precyzja jest jeszcze ważniejsza.
Użycie mikroskopu zabiegowego jest nieocenione, zwłaszcza przy powtórnym leczeniu. Mikroskop pozwala na precyzyjne odnajdywanie dodatkowych kanałów, które mogły zostać pominięte podczas pierwszego leczenia, a także na dokładne opracowanie systemu kanałowego. Dzięki niemu możliwe jest również usuwanie wkładów metalowych czy złamanych narzędzi.
Jednym z wyzwań w leczeniu endodontycznym jest usuwanie złamanych narzędzi z kanałów korzeniowych. To skomplikowana procedura, która wymaga ogromnego doświadczenia i zastosowania mikroskopu, ale w naszym gabinecie podejmujemy się takich wyzwań, aby uratować Twój ząb.
.png)
zapalenie miazgi zębowej
W wyniku próchnicy, czyli infekcji twardych tkanek zęba, do struktury miazgi mogą przedostać się drobnoustroje powodujące stan zapalny. Oprócz infekcji bakteryjnych przyczyną zapalenia mogą być również czynniki mechaniczne, chemiczne lub termiczne. Postępujący stan zapalny miazgi powoduje jej martwicę, nieleczony może rozprzestrzenić się na kość i pozostałe tkanki wokół wierzchołka korzenia zęba, wywołując stan zapalny okołowierzchołkowy.
Pierwszym objawem zapalenia miazgi jest tkliwość zęba lub jego ból, który wymaga stosownej diagnostyki i natychmiastowego leczenia. Dolegliwości bólowe bywają oznaką ostrego lub podostrego procesu zapalnego dotyczącego miazgi, który ma charakter pierwotny. W zależności od stopnia zapalenia miazgi ból może być wyzwalany dotykiem zęba lub może istnieć niezależnie od bodźców, które go mechanicznie wywołują. Może być wobec tego zjawiskiem prowokowanym lub procesem samoistnym. Jest różnie opisywany przez pacjentów – jako uczucie „wysadzania zęba z zębodołu”, ból pulsujący, promieniujący, któremu może towarzyszyć rozchwianie zęba. Do objawów miejscowych mogą się dołączyć objawy ogólne, jak złe samopoczucie, podwyższona temperatura ciała, powiększenie węzłów chłonnych podbródkowych, podżuchwowych, szyjnych lub innych w zależności od lokalizacji zęba przyczynowego. Ból samoistny może się potęgować pod wpływem ciepła, np. podczas spożywania ciepłych posiłków czy napojów.
Zdarza się, że stan zapalny miazgi nie jest sygnalizowany bólem, ponieważ proces zapalny ma charakter przewlekły i bezobjawowy. W takich sytuacjach problem w postaci chorego zęba najczęściej odkrywamy podczas rutynowego badania rtg. lub w trakcie badania jamy ustnej, gdy stwierdzamy przebarwienie korony zęba niespowodowane innymi przyczynami.
co to jest miazga zębowa?
Zęby wraz z ich twardymi tkankami, oprócz pełnienia oczywistej dla wszystkich funkcji rozdrabniania pokarmu, ochraniają także usytuowane w kanale korzeniowym nerwy i naczynia krwionośne, czyli miazgę zębową.





ZAPALENIE OKOŁOWIERZCHOŁKOWE
Wyjaśnienie istoty zapalenia tkanek okołowierzchołkowych wymaga przedstawienia ich anatomicznej lokalizacji. Tkanki okołowierzchołkowe to wszystkie struktury tkankowe, które otaczają wierzchołek korzenia zęba, umiejscowionego w zębodole, czyli naturalnym zagłębieniu w kości szczęki lub żuchwy.
Końcowa część korzenia, najwęższa i najbardziej oddalona od korony, to wierzchołek korzenia, przez który do kanału korzeniowego wnikają naczynia i nerwy. Następnie od wierzchołka przez całą długość korzenia biegną one do komory, gdzie tworzą miazgę zębową, która stanowi żywą strukturę zęba. Stany zapalne miazgi zęba, jako efekt próchnicy twardych tkanek, przenikają do okolicy i tkanek okołowierzchołkowych poprzez kanały zębowe. Przewlekły i bezobjawowy proces zapalny miazgi może być przyczyną chorób tkanek okołowierzchołkowych zęba. Choroby tych tkanek mogą mieć charakter niewielkich ziarniniaków, ale również rozległych torbieli zapalnych.

wskazania do leczenia kanałowego
.jpg)
Diagnostyka przed planowanym leczeniem
Diagnostyka obrazowa
KONSULTACJA ZE SPECJALISTĄ W NASZEJ KLINICE
nowoczesne narzędzia
leczenie endodontyczne krok po kroku
TECHNIKA LECZENIA KANAŁOWEGO ZĘBA
Na podstawie zdjęcia rentgenowskiego określa się kształt i długość kanału bądź za pomocą specjalnego urządzenia mierzy się jego długość. Potem lekarz otwiera wejścia do kanału, chroniąc ząb koferdamem, czyli specjalną gumą, zapewniającą sterylność oraz chroniącą przed środkami chemicznymi służącymi do oczyszcza-nia kanału. Używa się do tego zarówno specjalistycznego sprzętu, jak i nowo-czesnych mikroskopów, pozwalających na uzyskanie dokładnego obrazu leczone-go zęba. Ostatnią czynnością jest wypełnienie materiałem światłoutwardzal-nym i zabezpieczenie zęba przed dostaniem się i rozwojem bakterii mogących wywołać wtórny stan zapalny.
Zarówno ziarniniak okołowierzchołkowy i torbiel zębopochodna uszkadzają struktury okolicznej tkanki kostnej. Podobny proces jeszcze do niedawna był książkowym wskazaniem do interwencji chirurgicznej lub nawet usunięcia zęba. Przy obecnym stanie wiedzy praktycznej wynikającej z doświadczeń pokoleń lekarzy oraz szerokim dostępie do nowoczesnej, specjalistycznej aparatury medycznej, metody terapii stały się mniej inwazyjne, bardziej przewidywalne, mniej radykalne i z założenia prowadzą do zachowania zęba w jamie ustnej.
LECZENIE POWIKŁAŃ W ENDODONCJI
Leczenie endodontyczne nie jest proste – wbrew powszechnemu przekonaniu – i niesie ze sobą dość wysokie ryzyko niepowodzenia. Wynika to z faktu, że wyko-nywane jest w przypadku poważnie zniszczonych zębów. Dentyści decydują się na takie leczenie, gdy istnieje prawdopodobieństwo uratowania zęba, ale pacjent musi się liczyć z ryzykiem wystąpienia powikłań.
LECZENIE ENDODONTYCZNE ZE SKOMPLIKOWANĄ ANATOMIĄ ZĘBA
Przygotowanie do leczenia kanałowego
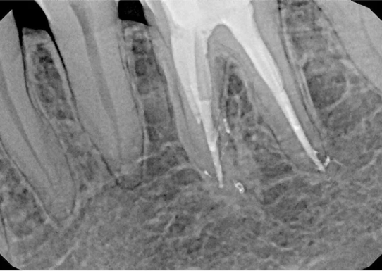
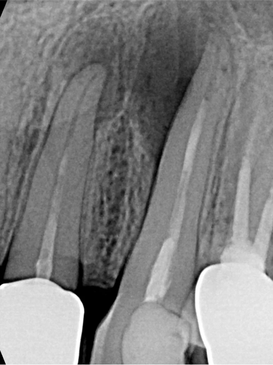
Przed rozpoczęciem leczenia kanałowego kluczowa jest dokładna diagnostyka. Zazwyczaj wykonujemy kontrolne zdjęcia RTG, a czasem nawet kilka, aby precyzyjnie ocenić stan zęba i otaczających go tkanek. W bardziej skomplikowanych przypadkach możemy zlecić wykonanie tomografii komputerowej (CBCT) dla uzyskania trójwymiarowego obrazu.
Bardzo ważne jest, aby poinformować nas o swoim ogólnym stanie zdrowia. Jeśli istnieją przeciwwskazania do wykonania RTG (np. ciąża) lub do podania znieczulenia miejscowego (np. niektóre choroby serca, alergie), musimy o tym wiedzieć przed rozpoczęciem zabiegu. W razie wątpliwości zapraszamy na konsultację.
Przed wizytą, na której planowane jest leczenie kanałowe, prosimy o dokładne umycie zębów. Dobra higiena jamy ustnej nie tylko ułatwia pracę lekarzowi, ale także przyspiesza cały proces leczenia i zmniejsza ryzyko powikłań. Pamiętaj o higienie jamy ustnej każdego dnia!
Jak wspomnieliśmy, zabiegi przeprowadzane są w znieczuleniu miejscowym. Jeśli masz jakiekolwiek obawy lub wiesz o przeciwwskazaniach do znieczulenia, powiedz nam o tym. Bezpieczeństwo naszych pacjentów jest najważniejsze.
Każde leczenie kanałowe w naszym gabinecie wymaga pracy pod mikroskopem zabiegowym. To nie luksus, a standard zapewniający precyzję, bezpieczeństwo i wysoką skuteczność leczenia.
%20(1)%201%20(1).png)
Leczenie kanałowe w praktyce – Jak to wygląda w naszym gabinecie?
W naszym gabinecie każde leczenie kanałowe w praktyce jest przeprowadzane z użyciem mikroskopu zabiegowego. Dla nas to podstawa precyzyjnego i bezpiecznego leczenia endodontycznego. Mikroskop pozwala nam precyzyjnie uzyskać dostęp do kanałów korzeniowych przy minimalnej destrukcji zdrowych tkanek samego zęba. Widzimy więcej, więc leczymy dokładniej. Zawsze stosujemy ślinochron (koferdam), aby zapewnić sterylność i bezpieczeństwo podczas zabiegu. Używamy również nowoczesnych narzędzi maszynowych, wykonanych ze specjalnych stopów (np. NiTi), które są elastyczne i minimalizują ryzyko złamania narzędzia w kanale, nawet w przypadku zakrzywionych kanałów.
Nasza diagnostyka to nie tylko cyfrowe zdjęcia RVG (radiowizjografia), które ograniczają dawkę promieniowania i dają natychmiastowy obraz. W skomplikowanych przypadkach kierujemy pacjentów na tomografię komputerową CBCT, która daje trójwymiarowy obraz struktur zębowych i kostnych, co jest nieocenione przy planowaniu trudnego leczenia kanałowego lub ponownego leczenia endodontycznego.
W zależności od stopnia skomplikowania, leczenie kanałowe może być zakończone podczas jednej wizyty lub wymagać kilku spotkań. Zawsze dążymy do jak najszybszego, ale przede wszystkim jak najskuteczniejszego przeprowadzenia leczenia.

Czego można oczekiwać po leczeniu kanałowym?
Po zakończonym leczeniu endodontycznym, ząb jest "martwy", ale może pełnić swoje funkcje przez wiele lat. Aby tak się stało, kluczowe jest przestrzeganie zaleceń stomatologa. Przestrzeganie tych zaleceń znacząco zmniejsza ryzyko powikłań po leczeniu kanałowym i przyspiesza proces gojenia tkanek otaczających ząb. Zalecenia najczęściej dotyczą:
Regularne kontrole po leczeniu kanałowym są niezbędne do monitorowania stanu zęba i wczesnego wykrywania ewentualnych problemów. Jest to ważny element leczenia kanałowego Opole.
W zależności od stopnia skomplikowania, leczenie kanałowe może być zakończone podczas jednej wizyty lub wymagać kilku spotkań. Zawsze dążymy do jak najszybszego, ale przede wszystkim jak najskuteczniejszego przeprowadzenia leczenia.
%201%20(1).png)
Nowoczesne metody leczenia kanałowego w Opolu
Leczenie kanałowe pod mikroskopem to złoty standard współczesnej stomatologii zachowawczej i endodoncji. Jest to metoda, która w naszym gabinecie jest standardem, zapewniając bezbolesne leczenie kanałowe na najwyższym poziomie. Używamy mikroskopu endodontycznego oraz koferdamu.
Nawet najlepszy sprzęt nie zastąpi jednak wiedzy i umiejętności. Doświadczony lekarz, specjalizujący się w leczeniu endodontycznym, jest niezbędny do radzenia sobie z trudnymi przypadkami, komplikacjami i zapewnienia najwyższej jakości leczenia. Nasi pacjenci mogą liczyć na opiekę najlepszych specjalistów.

dlaczego mikroskop jest tak ważny?
Dlaczego mikroskop jest tak ważny? Zastosowanie mikroskopu pozwala na:
kofedram - kolejny klucz do sukcesu
Koferdam, czyli specjalna guma izolująca leczony ząb od reszty jamy ustnej, to kolejny klucz do sukcesu. Jego zastosowanie
Drogi Pacjencie!
U nas płatność za usługę lub leczenie możesz rozłożyć na 3, 4, 8, 12 miesięcy!
Najczęściej zadawane pytania
Koszt leczenia kanałowego jest uzależniony od wielu czynników: liczby kanałów w danym zębie (zęby przednie mają zwykle 1-2 kanały, a trzonowe 3-4, a czasem nawet więcej), stopnia skomplikowania zabiegu (czy jest to pierwsze leczenie, czy powtórne leczenie kanałowe, czy konieczne jest usuwanie złamanych narzędzi), oraz od konieczności użycia specjalistycznych technik, jak mikroskop zabiegowy. Dokładną wycenę przedstawiamy zawsze po konsultacji i diagnostyce w naszym gabinecie.
Na całkowity koszt składa się cena samego leczenia endodontycznego oraz koszt odbudowy zęba po leczeniu (wypełnienie, wkład koronowo-korzeniowy, korona protetyczna). Odbudowa jest niezbędna dla zapewnienia długotrwałej szczelności i wytrzymałości zęba. Pełny plan leczenia wraz z kosztorysem otrzymasz od swojego lekarza stomatologa.
Zdecydowanie, jeśli tylko istnieje taka możliwość, należy dążyć do zachowania własnego zęba poprzez leczenie kanałowe. Usunięcie zęba to ostateczność. Posiadanie własnych zębów jest najlepsze dla funkcji żucia, estetyki, a także zapobiega przesuwaniu się sąsiednich zębów i zanikowi kości. Leczenie kanałowe to inwestycja, która pozwala uniknąć znacznie droższych i bardziej inwazyjnych rozwiązań, jak implanty czy mosty.
Narodowy Fundusz Zdrowia refunduje leczenie kanałowe tylko w ograniczonym zakresie. Zazwyczaj refundacja obejmuje leczenie zębów przednich (od kła do kła) u dorosłych oraz wszystkich zębów u dzieci i młodzieży do 18. roku życia. Jednak standard leczenia w ramach NFZ często nie obejmuje nowoczesnych metod, takich jak leczenie kanałowe pod mikroskopem, użycie koferdamu czy zaawansowanych narzędzi maszynowych, które znacząco podnoszą skuteczność leczenia. W naszym gabinecie stawiamy na najwyższą jakość, dlatego oferujemy leczenie prywatne.
Masz dodatkowe pytania?
Potrzebujesz konsultacji?
Umów się na konsultację z lekarzem, który dobierze odpowiedni proces i metodę leczenia zgodnie z Twoimi indywidualnymi potrzebami zdrowotnymi.






























