Implanty Opole
Implantologia dentystyczna to dyscyplina obecna na rynku usług medycznych w Polsce od końca lat osiemdziesiątych. Nasza klinika Dr Radosław Witkowski Opole oferuje usługi implantologiczne od 1993 roku. Implanty to nasza specjalność.
%201.png)
Czego się dowiesz?
Implantologia jako podstawa współczesnej rehabilitacji protetycznej w stomatologii
Obecnie implanty zębowe stanowią podstawę współczesnej rehabilitacji protetycznej w stomatologii i są dostępne dla każdego pacjenta bez ograniczeń wiekowych. Z perspektywy lat i osiągnięć medycyny XX wieku bezcenne są biologiczne, funkcjonalne i medyczne skutki ich zastosowania. W naszej placówce korzystamy z rozwiązań światowego lidera w dziedzinie implantologii stomatologicznej, co gwarantuje najwyższą jakość i bezpieczeństwo oferowanych implantów.

co to jest implant?
Implant to niewielkich rozmiarów śrubka, która wszczepiona w kość szczęki lub żuchwy zastępuje funkcję utraconego korzenia zęba. Implanty zębów produkowane są najczęściej z tytanu. To bezpieczny i biozgodny dla naszego organizmu materiał, który cechuje dodatkowo duża wytrzymałość mechaniczna. Pozwala to na prawidłowe zrośniecie się implantu z kością, a po wgojeniu – na trwałe umocowanie rekonstrukcji korony brakującego zęba.

implanty to nasza specjalność
ponad 30-letnie doświadczenie z implantami
Implantologia dentystyczna to dyscyplina obecna na rynku usług medycznych w Polsce od końca lat osiemdziesiątych. Nasza klinika oferuje usługi implantologiczne od 1993 roku.
współpraca z liderami implantologii
Wszczepiamy implanty zębów różnych systemów implantologicznych uznanych na całym świecie. Od samego początku współpracujemy z liderami światowej implantologii.
Kompleksowa opieka nad wszystkimi systemami implantów
Serwisujemy pacjentów z różnymi rodzajami implantów, także mniej znanych systemów oraz tych wycofanych ze sprzedaży.
Implanty dla każdego
Zaopatrujemy 100% pacjentów implantologicznych. Niezależnie od stopnia skomplikowania przypadku, znajdujemy odpowiednie rozwiązanie i plan leczenia dopasowany do indywidualnych potrzeb.
poznaj nasze usługi

ALL-ON-4® zęby w jeden dzień
Kompleksowe rozwiązanie umożliwiające odbudowę całego łuku zębowego na zaledwie czterech implantach, zapewniając szybki efekt estetyczny i funkcjonalny. Zęby w jeden dzień.

Implanty jarzmowe ZYGOMA
Innowacyjne implanty dla pacjentów z zaawansowanym zanikiem kości szczęki, mocowane w kości jarzmowej.
.png)
Natychmiastowe obciążenie
Protokół rehabilitacji protetycznej na implantach, polegający na tym, że pacjent opuszcza gabinet stomatologiczny w dniu zabiegu implantacji z tymczasową w pełni funkcjonalną protezą przykręconą do wprowadzonych wszczepów.

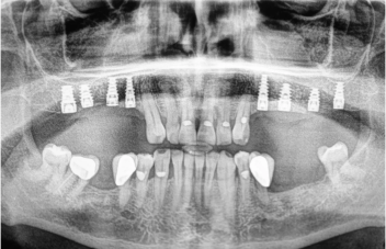
Leczenie bezzębia - bezzębie
Leczenie bezzębia jest dostosowywane do indywidualnych potrzeb pacjenta. Nowoczesne techniki minimalizują dyskomfort, skracają czas leczenia i zapewniają pacjentom estetyczny, trwały efekt oraz pełną funkcję żucia.
pierwszy implant z tytanu
Tytanowe implanty stomatologiczne zostały eksperymentalnie wszczepione w kość pacjenta po raz pierwszy w roku 1965. Autorem i pomysłodawcą tej techniki był pochodzący ze Szwecji Profesor medycyny Per Ingvar Branemark. Od tego czasu trwają nieprzerwane prace badawcze na całym świecie nad rozwiązaniami, które w szybki, trwały i niezawodny sposób odtwarzają anatomię i funkcję naszego organizmu.
Obecnie implanty zębowe stanowią podstawę współczesnej rehabilitacji protetycznej w stomatologii i są dostępne dla każdego pacjenta bez ograniczeń wiekowych. Z perspektywy lat i osiągnięć medycyny XX wieku bezcenne są biologiczne, funkcjonalne i medyczne skutki ich zastosowania.

nasze osiągnięcia
Dr Witkowski wizytował dwukrotnie Instytut Profesora Branemarka w Bauru w Brazylii (2013 oraz 2016 rok). Instytut w Bauru stanowił istotny punkt na mapie światowej implantologii, kontynuując dziedzictwo i rewolucyjne odkrycia profesora Per-Ingvara Brånemarka.




Od góry: 1. Budynek Instytutu w Bauru 2. Gabinet Profesora Branemarka - miejsce o szczególnym klimacie, gdzie Profesor prowadził badania naukowe do końca. 3. Dr Witkowski oraz galeria zdjęć z pierwszym pacjentem Profesora - Gosta Larsson, któremu wszczepiono tytanowe implanty 4. Okładka pierwszej książki Profesora Branemarka 5. Dedykacja od Profesora Branemarka dla Dr Witkowskiego w środku książki.
PRZECIWWSKAZANIA DO ZASTOSOWANIA IMPLANTÓW
Nie ma ograniczeń wiekowych w stosowaniu implantów zębowych, są jedynie względy zdrowotne o charakterze miejscowym oraz ogólnym, które mogą ograniczać możliwość wykonania zabiegów implantologicznych.
Leczymy rutynowo pacjentów nawet w wieku powyżej 80. roku życia. Wskazania, jak i zakres procedury weryfikuje konsultacja specjalistyczna oraz badanie pacjenta, które prowadzi w gabinecie lekarz implantolog.
%201.png)
kiedy stosuje się implanty?
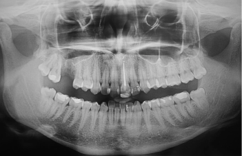
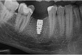
Brak pojedynczego zęba


Brak kilku zębów


Całkowity brak uzębienia


zalety stosowania implantów
Bezpieczne uzupełnienie
Bezpiecznie uzupełniają brakujące korzenie utraconych zębów.
Ochrona sąsiednich zębów
Oszczędzają zęby sąsiadujące z miejscem po ekstrakcji zęba przed szlifowaniem pod korony i mosty.
Stabilna odbudowa
Stwarzają możliwość komfortowej odbudowy i zamocowania koron zębów.
Przywrócenie funkcji żucia
Wraz z odbudowanymi koronami zębów trwale odtwarzają funkcję żucia.
Profilaktyka dysfunkcji stawów skroniowo-żuchwowych
Poprzez poprawę funkcji żucia zapobiegają zaburzeniom pracy stawów.
estetyka twarzy, profilu
Dzięki stabilnemu uzupełnieniu zębów odtwarzają estetyczny wygląd.
Zapobieganie zanikowi kości
Poprzez swoją obecność i funkcję zbliżoną do naturalnego uzębienia.
Implanty dla każdego
Utrzymują sąsiednie i przeciwstawne zęby w dobrej kondycji.
Łatwa higiena
W odróżnieniu od innych protez umożliwiają utrzymanie prawidłowej higieny.
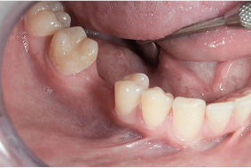
Naturalny efekt końcowy
Implanty zębów są w stanie całkowicie zastąpić i przypominać naturalne uzębienie człowieka.
Diagnostyka przed planowanym zabiegiem
Diagnostyka obrazowa
KONSULTACJA ZE SPECJALISTĄ W NASZEJ KLINICE
badania ogólnomedyczne
dodatkowe badania
ogólnomedyczne konsultacje wielospecjalistyczne
przygotowanie do leczenia implantologicznego

znieczulenie do leczenia implantologicznego

PLANOWANIE LECZENIA - CO TRZEBA uwzględnić?
Indywidualne oczekiwania pacjenta co do trwałości zastosowanego leczenia oraz efektów estetycznych
Czas trwania leczenia w zależności od zastosowanej techniki i miejsca implantacji
Ryzyko i rodzaj potencjalnych powikłań w odniesieniu do stosowanych technik operacyjnych oraz anatomii pacjenta
Rodzaj tymczasowych rozwiązań protetycznych istotnych w okresie wgajania implantów w kość
Ewentualność zastosowania dodatkowego leczenia
- Przy braku wystarczającej ilości kości należy uwzględnić procedurę jej odbudowy jako zabiegu planowanego przed wszczepianiem implantów lub w trakcie ich wszczepiania. Należy również określić rodzaj zabiegów regeneracyjnych, np. dla górnego łuku zębowego podniesienie dna zatoki szczękowej czy dla dolnego transpozycja nerwu zębodołowego dolnego.
- Leczenie ortodontyczne przygotowujące układ pozostałego uzębienia pod implantację
Dobór odpowiedniej procedury implantologicznej
- Implantacja według standardowego protokołu z czasem wgajania (osteointegracji): implantów dla szczęk, czyli górnego łuku – 6 miesięcy; dla żuchwy, czyli dolnego łuku – 4 miesiące.
- Implantacja z wczesnym obciążeniem – założenie koron następuje najwcześniej po 6 tygodniach
- Implantacja z natychmiastowym obciążeniem – założenie koron następuje do 48 godzin.
Dobór odpowiedniego rodzaju implantów pod kilkoma względami
- kształtu implantu: równoległościenny, cylindryczny gładki, stożkowy, zakończony agresywnym stożkowym wierzchołkiem, wąskordzeniowy – agresywny mieszany
- budowy implantu: śruba gwintowana, cylinder, żyletkowy, hybrydowy mieszany,
- wymiarów implantu: implant krótki korzeniowy, długi zygoma, skrzydłowy, szerokość platform 3,0 NP 3,3 3,5 RP 3,75 4,3 4,5 5,0 WP 5,5 6,0 6,5
- rodzaju powierzchni implantu: maszynowa polerowana, aktywna patentowa (TiUnite, CellPlus, Oseotite, HA, TCP), hybrydowa mieszana
- materiału, z którego jest wykonany implant: tytan Ti, cyrkon Zr
- rodzaju połączenia wewnętrznego dla podbudowy protetycznej: zewnętrzne śruba heksagonalna, wewnętrzne trilob, heksagon, synokta, z dodatkowym uszczelnieniem połączeń, wewnętrzny stożek morsa 12
Całkowity koszt leczenia w zależności od planu i zastosowanych materiałów

etapy leczenia implantologicznego
Leczenie implantologiczne jest procesem wieloetapowym. Czas potrzebny do jego zakończenia uzależniony jest od sytuacji klinicznej oraz od przebiegu procesów fizjologicznych w organizmie pacjenta. Standardowo wykonywany jest zgodnie ze schematem.
część chirurgiczna
ISTOTNE ELEMENTY LECZENIA
- W trakcie wgajania się implantu wymagane są wizyty kontrolne w gabinecie w odstępach cotygodniowych do zdjęcia szwów po zabiegu, a następnie comiesięcznych do odsłonięcia implantu.
- Przedstawiony powyżej schemat leczenia może ulegać zmianom technicznym i czasowym.
- W zależności od warunków kostnych u pacjenta oraz technicznego planu implantacji możliwe jest natychmiastowe osadzenie korony protetycznej na implancie zaraz po jego wszczepieniu. Taka sytuacja kliniczna określana jest jako natychmiastowe obciążenie implantu.
- W obecności trudnych warunków kostnych może zaistnieć konieczność wykonania zabiegów dodatkowych, takich jak odbudowa kości, które mogą wydłużyć czas wgajania implantów lub rozciągnąć cały proces o dodatkowe etapy.
- Istnieje cały szereg dodatkowych zabiegów rekonstrukcyjnych, dzięki którym w sytuacji istniejących trudności można stworzyć prawidłowe warunki dla wprowadzenia implantu. Zabiegi te określane są jako regeneracja kości
- W sytuacji ekstremalnie trudnych warunków kostnych leczenie implantologiczne ulega pierwotnej modyfikacji o niestandardowe rozwiązania, jakimi są np. implanty zygomatyczne.
- W trakcie osteointegracji implantów pacjent użytkuje tymczasowe uzupełnienia protetyczne, które zabezpieczają mu w stopniu podstawowym wymogi funkcjonalne i estetyczne.
część protetyczna
PORÓWNANIE: NATYCHMIASTOWE OBCIĄŻENIE A KLASYCZNY PROTOKÓŁ
.png)
informacje dla pacjenta
W naszej Klinice wierzymy, że skuteczne leczenie chirurgiczne i implantologicznezaczyna się dużo wcześniej niż w dniu zabiegu. Odpowiednie przygotowanie to klucz do sukcesu i długoterminowego efektu leczenia. Zadbamy nie tylko o miejsce zabiegu – lecz cały układ stomatognatyczny, Twoje samopoczucie oraz komfort funkcjonowania po leczeniu.
gwarancja na wykonane prace chirurgiczne i protetyczne
Istotna kwestia zrozumienia reguł leczenia oraz odpowiedzialności spoczywającej zarówno na lekarzu prowadzącym leczenie, jak i pacjencie, którego współpraca jest wymagana odnośnie do zachowania kilku reguł. Również wymagane jest podpisanie zgody na zabieg, jak i pozostałe procedury. Co jest naważniejsze?
%201%20(1).png)
Drogi Pacjencie!
U nas płatność za usługę lub leczenie możesz rozłożyć na 3, 4, 8, 12 miesięcy!
Najczęściej zadawane pytania
Implanty zębów to najczęściej niewielkich rozmiarów śrubki, które wszczepione w kość szczęki lub żuchwy zastępują utracony korzeń zęba. Współczesne implanty zębowe produkowane są głównie z tytanu. To bezpieczny i biozgodny dla naszego organizmu materiał, który cechuje dodatkowo duża wytrzymałość mechaniczna. Pozwala on na prawidłowe zrośnięcie się każdego implantu z kością, a po wgojeniu – na stałe umocowanie rekonstrukcji koron brakujących zębów. Bezpieczeństwo ich użytkowania mierzone jest odsetkiem prawidłowo wgojonych implantów, który szacowany jest obecnie na 95–99%, co sprawia, że leczenie implantologiczne jest bardzo przewidywalne.
Nowoczesne implanty bezpiecznie uzupełniają brakujące korzenie utraconych zębów, stanowiąc doskonałe rozwiązanie w przypadku braku pojedynczego zęba, jak i rozleglejszych braków zębowych. Dzięki temu implanty oszczędzają sąsiednie, zdrowe zęby przed szlifowaniem pod korony i mosty. Implanty stwarzają możliwość komfortowej odbudowy koron zębów. Wraz z odbudowanymi koronami zębów trwale odtwarzają funkcję żucia. Poprzez poprawę funkcji żucia zapobiegają zaburzeniom pracy stawów skroniowo-żuchwowych, których objawem są trzaski przy otwieraniu ust, dolegliwości bólowe uszu, głowy, szyi oraz pleców. Dzięki stabilnemu uzupełnieniu zębów implanty zębów odtwarzają estetyczny wygląd pacjenta, poprawiając profil i rysy twarzy, co jest kluczowe, gdy problem natury estetycznej jest priorytetem. Poprzez swoją obecność i funkcję zbliżoną do naturalnych zębów, implanty zębowe zapobiegają dalszemu zanikowi kości, przeciwdziałając oznakom starzenia się naszego uśmiechu. Utrzymują sąsiednie i przeciwstawne pozostałe zęby w dobrej kondycji, zapobiegając ich przesunięciom, co jest kolejną zaletą implantów. W odróżnieniu od innych protez, dzięki implantom, możliwe jest utrzymanie prawidłowej higieny jamy ustnej jak przy naturalnych zębach. Te implanty są w stanie całkowicie zastąpić naturalne uzębienie człowieka. Dla wielu pacjentów implanty dentystyczne są jedynym rozwiązaniem pozwalającym na pełną odbudowę funkcji i estetyki, szczególnie w przypadku każdego brakującego zęba.
Wskazaniem do leczenia implantologicznego jest już każdy brak zęba, nawet brak pojedynczego zęba, kilku, jak i całkowity brak uzębienia. Takie implanty najlepiej wszczepić jak najszybciej i jest to możliwe nawet w dniu usunięcia zęba. Czas od ekstrakcji do wprowadzenia implantu uzależniony jest od stanu tkanek otaczających usuwany ząb. W sytuacji gdy przyczyną ekstrakcji jest stan zapalny, odraczamy wprowadzenie nowego implantu nawet o kilka tygodni. Urazy i zniszczenia tkanek twardych zęba kwalifikujące go do usunięcia umożliwiają wczesne i natychmiastowe wszczepienie implantu. Warunkiem prawidłowego wszczepienia implantu jest obecność kości niezbędnej do prawidłowego zakotwiczenia wszczepu. Niewystarczająca ilość kości uniemożliwia wprowadzenie implantu we właściwej pozycji, co zmusza nas do wykonania dodatkowego zabiegu regeneracji kostnej, który poprzedza o kilka miesięcy wszczepienie implantu zęba.
Ekstrakcja zęba i natychmiastowe wszczepienie implantów zębowych w jego miejsce jest możliwe, jeśli tylko lekarz stwierdzi, że są ku temu sprzyjające okoliczności. Przy kwalifikacji do takiego zabiegu chodzi głównie o ilość i dobrą kondycję kości, jak również tkanki miękkie (dziąsła) oraz brak stanu zapalnego w miejscu implantacji.
Przeciwwskazania do leczenia implantologicznego można podzielić na te, które powodowane są ogólnym lub miejscowym stanem zdrowia pacjenta. Mogą mieć charakter względny, jak i bezwzględny. Przy czym większość z nich to przeciwwskazania tylko czasowe, czyli względne, jak np. niekontrolowana cukrzyca czy zły stan higieny jamy ustnej. Oznacza to, że po zastosowaniu odpowiedniego leczenia choroby ogólnej każdego pacjenta bądź usunięciu przyczyn miejscowych możliwe jest wprowadzenie nowoczesnego implantu. Ogólne przeciwwskazania bezwzględne to terminalna choroba nowotworowa, choroby psychiczne uniemożliwiające logiczny kontakt z pacjentem. Miejscowe bezwzględne to brak kości spowodowany jej chirurgiczną resekcją lub skrajne trudności w dotarciu do pola operacyjnego powodowane przez nieoperacyjne, utrudnione rozwieranie szczęk. Istnieją przeciwwskazania. Wskazania, przeciwwskazania do leczenia implantologicznego, jak i zakres procedury weryfikuje konsultacja specjalistyczna oraz badanie pacjenta, które prowadzi w naszym gabinecie w Opolu lekarz chirurg implantolog. To ekspert w dziedzinie implantologii stomatologicznej.
Nie ma ograniczeń wiekowych w stosowaniu implantów zębów, są jedynie względy zdrowotne o charakterze miejscowym oraz ogólnym, które mogą ograniczać możliwość wykonania zabiegów implantacji. Leczymy rutynowo pacjentów w wieku powyżej 80. roku życia. Wskazania, jak i zakres procedury dla każdego pacjenta weryfikuje konsultacja specjalistyczna oraz badanie pacjenta, które prowadzi w naszym gabinecie lekarz chirurg implantolog.
Proces wszczepienia implantu w planowanym miejscu w kość jest najczęściej zabiegiem szybkim, wykonywanym w znieczuleniu miejscowym. Dokładny przebieg leczenia jest omawiany z pacjentem podczas konsultacji stomatologicznej. Warunkiem prostej i szybkiej implantacji są nienaganne warunki kostne. W przeciwnym razie konieczna jest odbudowa kości. W sytuacji niedostatku objętości kostnej wyrostka zębodołowego kości szczęki lub żuchwy, aby leczenie przebiegało prawidłowo, zabieg poszerzamy o procedurę odbudowy kostnej. Ocena struktury kości szczęki, często z wykorzystaniem diagnostyki obrazowej (np. tomografii komputerowej), jest kluczowa dla powodzenia całego leczenia implantologicznego.
Przy zabiegu wszczepienia implantu nie zawsze niezbędna jest odbudowa kostna okolicy implantowanej. W sytuacji istnienia prawidłowej objętości kości we wszystkich wymiarach wszczepienie implantu przebiega bez odbudowy kostnej. Przy niedostatku kości w jednym z wymiarów warunkiem prawidłowego wszczepienia implantu i wgojenia jest regeneracja kostna, np. poprzez podniesienie dna zatoki. Ma ona wpływ zarówno na względy biologiczne, czyli prawidłowe wgojenie się implantu, jak i względy funkcjonalne – brak retencji pokarmów pod prawidłowo uformowanymi koronami zębów. Istotne dla pacjenta są również względy estetyczne, które osiąga się poprzez anatomiczne odtworzenie kształtu dziąsła rozpiętego nad odbudowaną kością, dające prawidłowe wyłonienie korony protetycznej odtwarzanego zęba. Taka odbudowa protetyczna na implantach zębów zapewnia najlepsze rezultaty. Uwzględnienie odtworzenia zarówno kości, dziąsła, jak i koron zębów daje w pełni estetyczne i funkcjonalne efekty leczenia implantologicznego, które najlepiej imitują własne, zdrowe zęby.
Można byłoby napisać, że nie ma nic doskonalszego nad nasze własne zęby, jeśli chodzi o funkcję i witalność zębów, a jednak one zawodzą.Nowoczesne implanty to najdoskonalsza mechaniczno-biologiczna oraz funkcjonalna forma ich uzupełnienia. Rekonstrukcja implantoprotetyczna za pomocą implantów uzębienia najlepiej oddaje funkcję uzębienia ludzkiego w każdym aspekcie. Przy odpowiedniej pielęgnacji i regularnych wizytach w gabinecie stomatologicznym, implanty zębowe mogą służyć pacjentowi do końca życia.
Ze względu na materiał, z którego wykonane są implanty zębowe – dopracowane przez dziesięciolecia procedury chirurgiczne, liczne badania naukowe uwierzytelniające bezpieczeństwo tej metody, analizę retrospektywną powikłań, jakie występują w implantologii, ciągłe doskonalenie technik implantologicznych, udoskonalenia materiałowe oraz technologiczne – implantologia jest najprężniej rozwijającym się działem w medycynie i stomatologii, a przez to bezpiecznym dla pacjenta.
W implantologii stomatologicznej – jak w każdej zabiegowej dyscyplinie medycyny – istnieje ryzyko powikłań. Objawia się ono najczęściej brakiem wgojenia się danego implantu w kość, co zakłóca proces gojenia. Istnieje wiele przyczyn braku integracji implantu z kością po zabiegu wszczepienia implantu. Są to stany zapalne okołowszczepowe periimplantitis, brak pierwotnej stabilizacji implantu przy natychmiastowym obciążeniu wszczepu koroną zęba, przeciążenia protetyczne, brak wtórnej integracji implantu czy uszkodzenia mechaniczne konstrukcji danego implantu.
Najczęstszą statystycznie przyczyną utraty danego implantu jest stan zapalny tkanek wokół implantu, czyli PERIIMPLANTITIS. Takie implanty mogą być usuwane również z powodu niezapalnej utraty stabilizacji, spowodowanej słabą strukturalnie kością (szczególnie w odcinku bocznym, gdzie kość żuchwy jest inna), niedostatecznie odbudowaną lub źle dobranymi parametrami długości w relacji do szerokości implantu w stosunku do obciążeń zgryzowych. Niedostatek mocy fundamentu/implantu może też wynikać ze zbyt małej ilości wszczepów w relacji do rekonstruowanego obszaru; dotyczy to głównie stref bocznych oraz zbyt rozbudowanej powierzchni protetycznej koron na implantach zębów. Mówimy wtedy o przeciążeniach występujących w zgryzie, prowadzących do utraty wszczepów. Przeciążenia mogą również skutkować uszkodzeniem mechanicznym konstrukcji implantów, ich łączeń śrubowych wewnątrz implantów. Może dochodzić do złamań trzonu lub szyjki implantu oraz głębokich złamań śrub mocujących łączniki wewnątrz trzonu implantu. Tak uszkodzone implanty wymagają usunięcia.
W przypadku utraty implantu zębowego implantolog dostosowuje postępowanie do sytuacji klinicznej oraz przyczyn utraty wszczepu. Czasami implant usuwa się sam, czasem jednak trzeba ten implant usunąć z powodu zapalenia tkanek, ich utraty wokół wszczepu czy uszkodzenia mechanicznego implantu.
W światowej literaturze naukowej nie istnieją jednoznaczne doniesienia, które wyodrębniałyby grupę pacjentów uczulonych na tytan, z którego robi się implanty, i jego związki chemiczne. Implanty stomatologiczne zbudowane są ze stopów tytanu o patentowanej technologicznie skali czystości. Istnieją jednak także różne rodzaje implantów zębowych, na przykład wykonane z cyrkonu, dla pacjentów z alergią na metale. Czyni je to bezpiecznymi i neutralnymi immunologicznie teoretycznie dla wszystkich. U pacjentów uczulonych na związki metali, a szczególnie dotyczy to niklu, w wyjątkowych sytuacjach może dochodzić do reakcji na śladową jego ilość zawartą w nieczystym stopie lub pozostałą jako drobinę katalizatora chemicznych reakcji na powierzchni implantu zęba. Firmy produkujące implanty zębów wraz z akcesoriami, często będące światowym liderem w tej dziedzinie, traktują swoje patenty z najwyższą starannością, co wyróżnia ich produkty pod względem bezpieczeństwa dla ich użytkowników. Dlatego też przy wyborze systemu implantologicznego dla siebie powinno się brać pod uwagę wszystkie parametry. Kwestia odpowiedniego doboru systemu implantologicznego, jaką oferujemy w ramach leczenia implantami w Opolu, szczególnie dotyczy pacjentów z odnotowanymi w przeszłości reakcjami uczuleniowymi na metale.
O wszystkie implanty dbamy jak o własne, naturalne zęby. Stosujemy podstawowe domowe zabiegi higieniczne jamy ustnej, jak przy koronach i mostach. Poza tym, w przypadku implantów, należy korzystać z zabiegów higienizacyjnych, które wykonujemy w naszym gabinecie stomatologicznym w Opolu.
Od czasu wszczepienia pierwszego implantu w kość człowieka dzieli nas ponad pół wieku. Obecnie implant zębowy jest ogólnie uznanym produktem rynkowym, stosowanym w codziennej praktyce lekarskiej dla uzupełniania braków zębowych współczesnego pacjenta. Stosując implanty zębowe oraz nowoczesne procedury implantologiczne, dziś wykonując zabiegi implantacji, bezpiecznie uzupełniamy zarówno brak nawet pojedynczego zęba, jak i rehabilitujemy protetycznie bezzębnych pacjentów.
Masz dodatkowe pytania?
Potrzebujesz konsultacji?
Umów się na konsultację z lekarzem, który dobierze odpowiedni proces i metodę leczenia zgodnie z Twoimi indywidualnymi potrzebami zdrowotnymi.















%201%20(2).png)


